Điều trị Bệnh nhân Ung thư phổi không tế bào nhỏ giai đoạn IV có đột biến gen ALK tại Trung tâm Y học hạt nhân và Ung bướu – Bệnh viện Bạch Mai
GS.TS Mai Trọng Khoa1,2, PGS.TS Phạm Cẩm Phương1,2, Bs Nguyễn Thị Đông Lan2
1. Trung tâm Y học hạt nhân và Ung bướu, Bệnh Viện Bạch Mai
2. Trường Đại học Y Dược – Đại học quốc gia Hà Nội
Ung thư phổi là một trong 3 loại ung thư thường gặp nhất và là nguyên nhân gây tử vong hàng đầu do ung thư ở phạm vi toàn cầu cũng như ở Việt Nam. Theo GLOBOCAN năm 2022, Việt Nam ghi nhận 24.426 ca mắc mới và 22.597 ca tử vong vì căn bệnh này. Có hai loại ung thư phổi chính là ung thư phổi tế bào nhỏ (chiếm khoảng 20%) và ung thư phổi không tế bào nhỏ (chiếm khoảng 80%)
Ung thư phổi không tế bào nhỏ (Ung thư phổi không phải tế bào nhỏ – UTPKTBN) là một nhánh phổ biến của ung thư phổi. Dù được coi là có tiên lượng tốt hơn so với ung thư phổi tế bào nhỏ, căn bệnh này vẫn là mối nguy hiểm tiềm tàng khi thường xuyên phát triển âm thầm, nghèo triệu chứng lâm sàng.
Gần đây, các nghiên cứu đã chỉ ra một số gen liên quan đến tiên lượng và điều trị hướng tới bệnh nhân ung thư phổi không tế bào nhỏ như ALK, EGFR, ROS1…. Hiện nay đã có nhiều phác đồ điều trị hướng tới nhóm bệnh nhân có đột biến tại những gen này mang lại hiệu quả quan trọng với kỳ vọng sống cao cho các bệnh nhân.
Sau đây chúng tôi xin báo cáo một trường hợp lâm sàng bệnh nhân mắc bệnh ung thư phổi không tế bào nhỏ có đột biến gen ALK được điều trị bằng thuốc đích Alectinib đạt đáp ứng tốt.
Trường hợp bệnh nhân nam Đ. Đ. Đ, 48 tuổi, tiền sử viêm dạ dày, hút thuốc lá nhiều năm, 1 bao/ngày.
Tháng 1 năm 2023 bệnh nhân xuất hiện đau âm ỉ vùng ngực bên phải, không ho, không sốt, không khó thở đi khám tại Bệnh viện Phổi Hà Nội phát hiện tràn dịch màng phổi phải số lượng ít, được điều trị nội khoa bằng thuốc. 1 tháng sau bệnh nhân đi khám lại không phát hiện tổn thương.
Đến 6 tháng sau bệnh nhân đi khám sức khoẻ được chụp cắt lớp vi tính lồng ngực cho kết quả: Vài nốt đặc thùy giữa và dưới phổi phải, nốt lớn kích thước 10x25mm, tràn dịch màng phổi phải => vào Trung tâm Y học hạt nhân và Ung bướu đánh giá và điều trị

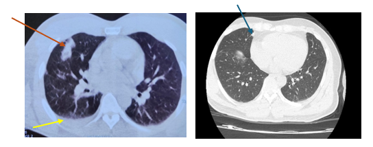
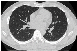
Hình 1: Hình ảnh cắt lớp vi tính lồng ngực: nốt tổn thương u phổi phải kích thước 10x25mm (mũi tên đỏ), dịch màng phổi phải (mũi tên vàng), tổn thương di căn phổi (mũi tên xanh)
Tình trạng bệnh nhân lúc vào viện:
Bệnh nhân tỉnh, tiếp xúc tốt,
Da niêm mạc hồng, không phù, không xuất huyết dưới da.
Hạch ngoại vi không sờ thấy
Không ho, không khó thở, không đau ngực
Không phát hiện gầy sút cân.
Phổi có giảm thông khí đáy phổi phải.
Các cơ quan khác chưa phát hiện bất thường
Bệnh nhân đươc sinh thiết u làm giải phẫu bệnh có kết quả: Ung thư biểu mô tuyến, được làm các đột biến Gen có kết quả: ALK (+), EGFR (-), PD -L1 <1%

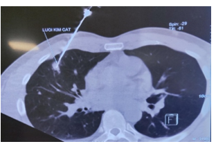
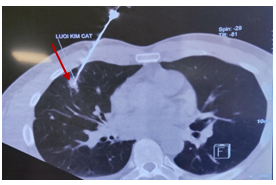
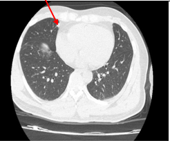
Hình 2: Hình ảnh chọc sinh thiết tổn thương vùng phổi phải dưới hướng dẫn chụp cắt lớp vi tính lồng ngực
Bệnh nhân được chụp PET/CT tại Bệnh viện Vinmec cho kết quả: Các nốt đặc rải rác thùy giữa và dưới phổi phải, các nốt lớn tăng chuyển hoá FDG (suvmax 3,6), ít dịch màng phổi dày 9mm, nhiều nốt rải rác màng phổi thành ngực, hạch nhóm 2R,4R/7 rốn phổi phải, hạch lớn KT 17x10mm.

Hình 3: Hình ảnh chụp PET/CT các nốt tổn thương u tại phổi phải (mũi tên đỏ), nốt di căn màng phổi phải (mũi tên vàng)

Hình 4: Hình ảnh chụp PET/CT: Hạch trung thất, dịch màng phổi phải (mũi tên chỉ)
Bệnh nhân được chụp Cộng hưởng từ sọ não: Chưa phát hiện tổn thương

Hình 5: Hình ảnh chụp cộng hưởng từ sọ não: Không phát hiện tổn thương
Các chất chỉ điểm u CEA: 1,03, Cyfra 21-1: 3,74.
Công thức máu, sinh hoá máu trong giới hạn bình thường.
Chẩn đoán: Ung thư biểu mô tuyến phổi phải T4N2M1 – Di căn màng phổi, phổi, ALK (+)
Với bệnh nhân ung thư phổi giai đoạn IV có đột biến gen ALK, đích đến của liệu pháp điều trị là phương pháp điều trị tối ưu theo các hướng dẫn điều trị của Bộ y tế cũng như Hiệp hội ung thư thế giới. Thuốc TKIs dạng uống đầu tiên được chứng minh là có hiệu quả chống lại ung thư phổi dương tính với ALK là Crizotinib (Xalkori). Sau đó, có hai loại khác cũng được chứng minh là rất hiệu quả – Ceritinib (Zykadia) và Alectinib (Alecensa).
Sau khi hội chẩn hội đồng chuyên gia, bệnh nhân được chỉ định điều trị thuốc Alectinib 600mg/lần x 2 lần/ngày, uống trong bữa ăn.
Trong quá trình dùng thuốc bệnh nhân được xét nghiệm công thức máu, sinh hoá máu, chất chỉ điểm u 1 tháng 1 lần. Chụp cắt lớp vi tính lồng ngực và cắt lớp vi tính ổ bụng 3 tháng 1 lần. Các triệu chứng lâm sàng gần như không còn, thể trạng bệnh nhân ngày càng tốt lên, chất lượng cuộc sống được cải thiện.
Sau 03 tháng điều trị, người bệnh:
Không có các triệu chứng cơ năng bất thường
Xét nghiệm chất chỉ điểm u: CEA: 1,09 ng/mL, Cyfra 21-1: 3,46ng/mL đều trong giới hạn bình thường
Công thức máu, sinh hoá máu, chức năng gan thận: trong giới hạn bình thường.
Chụp cắt lớp vi tính lồng ngực: Hình ảnh các nốt kính mờ rãnh liên thùy và màng phổi phải kích thước 2x3mm. Đám dải xẹp phổi thùy giữa phổi phải

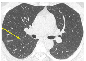
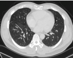
Hình 6: Hình ảnh chụp cắt lớp vi tính lồng ngực: nốt tổn thương u phổi phải nhỏ hơn ban đầu sau 3 tháng điều trị (mũi tên vàng)
Chụp cắt lớp vi tính ổ bụng: Không phát hiện tổn thương
Đánh giá: Bệnh đáp ứng 1 phần
Điều trị tiếp: Alectinib 600mg/lần x 2 lần/ngày, uống trong bữa ăn
Sau 06 tháng điều trị, người bệnh:
Không có các triệu chứng cơ năng bất thường
Xét nghiệm chất chỉ điểm u: CEA: 1,03ng/mL, Cyfra21-1: 3,74 ng/mL đều trong giới hạn bình thường
Công thức máu, sinh hoá máu, chức năng gan thận trong giới hạn bình thường
Chụp cắt lớp vi tính lồng ngực: Hình ảnh các nốt kính mờ rãnh liên thùy và màng phổi phải. Đám dải xẹp phổi thùy giữa phổi phải

Hình 7: Hình ảnh chụp cắt lớp vi tính lồng ngực sau điều trị, tổn thương u giảm kích thước sau 6 tháng điều trị (mũi tên vàng)
Sau 9 tháng điều trị, người bệnh:
Không có các triệu chứng cơ năng, không có tác dụng phụ của thuốc
Xét nghiệm chất chỉ điểm u: CEA: 1.11 ng/mL, Cyfra 21-1:3,12 ng/mL đều trong giới hạn bình thường
Công thức máu, sinh hoá máu, chức năng gan thận trong giới hạn bình thường
Chụp cắt lớp vi tính lồng ngực: Hình ảnh các nốt kính mờ rãnh liên thùy và màng phổi phải. Đám dải xẹp phổi thùy giữa phổi phải

Hình 8: Hình ảnh chụp cắt lớp vi tính lồng ngực sau 9 tháng điều trị
Cắt lớp vi tính ổ bụng: Chưa phát hiện tổn thương
Đánh giá: Bệnh đáp ứng 1 phần
Điều trị tiếp: Alectinib 600mg/lần x 2 lần/ngày, uống trong bữa ăn
Sau 15 tháng điều trị, người bệnh:
Không có triệu chứng cơ năng
Tác dụng phụ của thuốc: táo bón nhẹ.
Xét nghiệm chất chỉ điểm u CEA: 0,76 ng/mL, Cyfra 21-1: 3,8 ng/mL đều trong giới hạn bình thường
Công thức máu, sinh hoá máu, chức năng gan thận trong giới hạn bình thường.
Chụp cắt lớp vi tính lồng ngực: Hình ảnh các nốt kính mờ rãnh liên thùy và màng phổi phải. Đám dải xẹp phổi thùy giữa phổi phải

Hình 9: Hình ảnh cắt lớp vi tính lồng ngực sau 15 tháng điều trị
Chụp cắt lớp vi tính ổ bụng: Không phát hiện tổn thương
Siêu âm hạch cổ 21/10/2024: Hình ảnh siêu âm hạch vùng cổ không thấy bất thường.
Đánh giá: Bệnh đáp ứng 1 phần
Điều trị tiếp: Alectinib 600mg/lần x 2 lần/ngày, uống trong bữa ăn
Sau 20 tháng điều trị: đánh giá bệnh đáp ứng 1 phần. Hiện tại bệnh nhân không có triệu chứng cơ năng trên lâm sàng, tăng 2kg so với trước điều trị. Tác dụng phụ táo bón nhẹ.
Chất chỉ điểm u CEA, Cyfra 21-1 trong giới hạn bình thường.
Công thức máu, sinh hoá máu trong giới hạn bình thường.
Đáp ứng hình ảnh tốt, không còn tổn thương hoạt động rõ. Không xuất hiện các tổn thương mới tại phổi hay tại các cơ quan khác
| Trước điều trị | Sau 20 tháng điều trị |
| Không có triệu chứng cơ năng | Tăng 2kg so với trước điều trị
Táo bón nhẹ do tác dụng phụ của thuốc |
| Cắt lớp vi tính lồng ngực: Vài nốt đặc thùy giữa và dưới phổi phải, nốt lớn kích thước 10x25mm, tràn dịch màng phổi phải | Cắt lớp vi tính lồng ngực: Hình ảnh vài nốt nhỏ rãnh liên thùy phổi phải. Dải xẹp phổi thùy giữa, sát rãnh liên thùy phổi phải. Hiện không thấy rõ khối ngấm thuốc 2 phổi |
![]() |
![]() |
![]() |
![]() |
Bệnh nhân tiếp tục được điều trị duy trì Alectinib 600mg/lần x 2 lần/ngày, uống trong bữa ăn.
Bệnh nhân tiếp tục được theo dõi sát các triệu chứng cơ năng, các tác dụng phụ của thuốc Alectinib, kiểm tra đánh giá định kỳ để phát hiện sớm tiến triển của bệnh, di căn (nếu có) và điều trị bệnh theo từng giai đoạn.




