MỘT SỐ BIẾN CHỨNG SAU PHẪU THUẬT CẮT TUYẾN GIÁP TRONG ĐIỀU TRỊ UNG THƯ TUYẾN GIÁP

MỘT SỐ BIẾN CHỨNG SAU PHẪU THUẬT CẮT TUYẾN GIÁP TRONG ĐIỀU TRỊ UNG THƯ TUYẾN GIÁP BSNT. Phạm Thị Như Quỳnh, GS. TS. Mai Trọng Khoa, PGS. TS. Phạm...

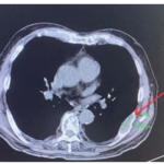
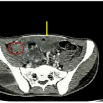
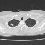
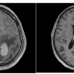
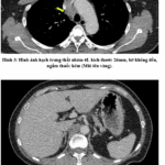
CASE LÂM SÀNG Điều trị bệnh nhân mắc đồng thời hai loại ung thư: Ung thư phổi và ung thư tuyến tiền liệt

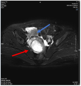
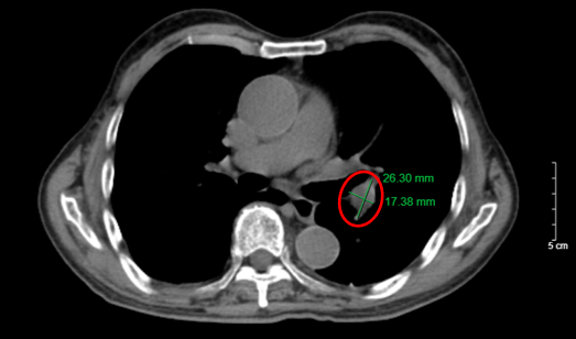
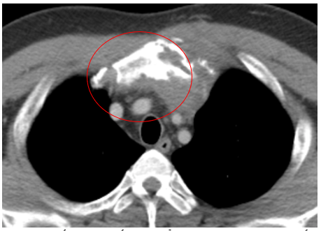
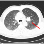
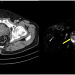
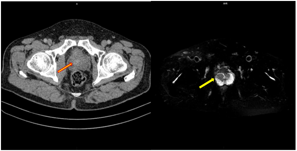
CASE LÂM SÀNG Điều trị bệnh nhân mắc đồng thời hai loại ung thư: Ung thư phổi và ung thư tuyến tiền liệt GS. TS. Mai Trọng Khoa, PGS.TS Phạm...

Tổng quan về cục diện kháng thuốc EGFR TKI trong ung thư phổi không tế bào nhỏ có đột biến EGFR: Cơ chế và các hướng tiếp cận điều trị mới

Tổng quan về cục diện kháng thuốc EGFR TKI trong ung thư phổi không tế bào nhỏ có đột biến EGFR: Cơ chế và các hướng tiếp cận điều trị...

Đào tạo & nghiên cứu

Tiến bộ và ứng dụng của công nghệ giải trình tự gen thế hệ mới (NGS)

Tiến bộ và ứng dụng của công nghệ giải trình tự gen thế hệ mới (NGS) Trịnh Thị Phương Dung...

Điều trị ung thư tuyến tiền liệt bằng phương pháp cấy hạt phóng xạ (Radioactive Seed Implantation Therapy) I-125

Điều trị ung thư tuyến tiền liệt bằng phương pháp cấy hạt phóng xạ (Radioactive Seed Implantation Therapy) I-125 GS.TS....

Sotorasib – Ý nghĩa trong điều trị ung thư phổi không tế bào nhỏ tiến triển có đột biến gen KRAS G12C

Sotorasib – Ý nghĩa trong điều trị ung thư phổi không tế bào nhỏ tiến triển có đột biến gen KRAS G12C...

Miễn dịch & ung bướu

MỘT SỐ BIẾN CHỨNG SAU PHẪU THUẬT CẮT TUYẾN GIÁP TRONG ĐIỀU TRỊ UNG THƯ TUYẾN GIÁP

MỘT SỐ BIẾN CHỨNG SAU PHẪU THUẬT CẮT TUYẾN GIÁP TRONG ĐIỀU TRỊ UNG THƯ TUYẾN GIÁP BSNT. Phạm Thị Như Quỳnh, GS. TS. Mai Trọng Khoa, PGS....

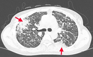
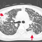
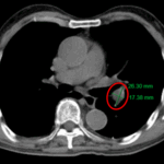
CASE LÂM SÀNG Điều trị bệnh nhân mắc đồng thời hai loại ung thư: Ung thư phổi và ung thư tuyến tiền liệt

CASE LÂM SÀNG Điều trị bệnh nhân mắc đồng thời hai loại ung thư: Ung thư phổi và ung thư tuyến tiền liệt GS. TS. Mai Trọng Khoa,...

Tổng quan về cục diện kháng thuốc EGFR TKI trong ung thư phổi không tế bào nhỏ có đột biến EGFR: Cơ chế và các hướng tiếp cận điều trị mới

Case lâm sàng: Điều trị miễn dịch kết hợp thuốc kháng tăng sinh mạch cho bệnh nhân ung thư biểu mô tế bào gan tại trung tâm y học hạt nhân và ung bướu – BV Bạch Mai

Vi-rút HPV 16: Thủ phạm gây ung thư họng

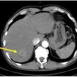
Ca lâm sàng: Điều trị thành công bệnh nhân ung thư tuyến giáp đã di căn xương cột sống sau 16 năm tại Trung tâm Y học hạt nhân và Ung bướu

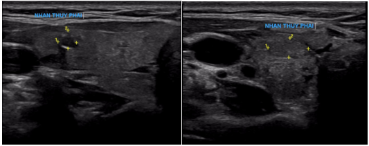
CẬP NHẬT SỰ THAY ĐỔI TRONG LỰA CHỌN PHƯƠNG PHÁP PHẪU THUẬT UNG THƯ TUYẾN GIÁP THỂ BIỆT HOÁ CỦA HIỆP HỘI UNG THƯ TUYẾN GIÁP HOA KỲ NĂM 2025

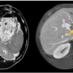
CASE LÂM SÀNG: CHẨN ĐOÁN BỆNH NHÂN MẮC HAI UNG THƯ: GIST RUỘT NON VÀ UNG THƯ TUYẾN GIÁP TẠI TRUNG TÂM Y HỌC HẠT NHÂN VÀ UNG BƯỚU, BỆNH VIỆN BẠCH MAI

Ca lâm sàng

CASE LÂM SÀNG Điều trị bệnh nhân mắc đồng thời hai loại ung thư: Ung thư phổi và ung thư tuyến tiền liệt

CASE LÂM SÀNG Điều trị bệnh nhân mắc đồng thời hai loại ung thư: Ung thư phổi và ung thư...

Case lâm sàng: Điều trị miễn dịch kết hợp thuốc kháng tăng sinh mạch cho bệnh nhân ung thư biểu mô tế bào gan tại trung tâm y học hạt nhân và ung bướu – BV Bạch Mai

Case lâm sàng: Điều trị miễn dịch kết hợp thuốc kháng tăng sinh mạch cho bệnh nhân ung thư biểu...

Ca lâm sàng: Điều trị thành công bệnh nhân ung thư tuyến giáp đã di căn xương cột sống sau 16 năm tại Trung tâm Y học hạt nhân và Ung bướu

GS.TS. Mai Trọng Khoa, PGS.TS. Phạm Cẩm Phương, Ths Lê Quang Hiển, BS. Vũ Thị Huyền Trung tâm Y học hạt...

Sinh học phân tử

Chi hội Miễn dịch Trị liệu Ung thư Thành phố Hồ Chí Minh kiện toàn bộ máy, thống nhất chương trình hành động 2026

Chi hội Miễn dịch Trị liệu Ung thư Thành phố Hồ Chí Minh kiện toàn bộ máy, thống nhất chương trình hành động 2026 Ngày 03/02/2026, trong bối...

Ca lâm sàng: Ung thư đại tràng ở bệnh nhân 15 tuổi

GS.TS Mai Trọng Khoa; BSNT Hoàng Mạnh Đức, Ths Bùi Quang Lộc , PGS.TS Phạm Cẩm Phương, Bsck II Hoàng Anh, Trung tâm y học hạt nhân và...

Tác dụng phụ của thuốc nhắm trúng đích (TKI) trong ung thư phổi không tế bào nhỏ và cách xử trí

PSMA PET/CT: Hướng dẫn quy trình chung của EANM / SNMMI đối với hình ảnh học ung thư tuyến tiền liệt phiên bản 2.0

Điều trị Bệnh nhân Ung thư phổi không tế bào nhỏ giai đoạn IV có đột biến gen ALK tại Trung tâm Y học hạt nhân và Ung bướu – Bệnh viện Bạch Mai.

HIỆU QUẢ CỦA PHẪU THUẬT ĐỂ GIẢM NGUY CƠ ĐỐI VỚI UNG THƯ BUỒNG TRỨNG Ở BỆNH NHÂN KHÔNG MANG ĐỘT BIẾN GEN BRCA

Tiến bộ và ứng dụng của công nghệ giải trình tự gen thế hệ mới (NGS)

Lợi ích lâu dài của phẫu thuật cắt bỏ hai bên vòi trứng và buồng trứng trên bệnh nhân ung thư vú có mang gen BRCA1 và BRCA2: kết quả từ một nghiên cứu mới đây.