Miễn dịch & ung bướu
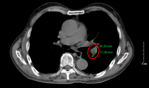
CASE LÂM SÀNG: ĐIỀU TRỊ UNG THƯ PHỔI TẾ BÀO NHỎ BẰNG THUỐC MIỄN DỊCH KẾT HỢP VỚI HOÁ TRỊ TẠI BỆNH VIỆN BẠCH MAI
CASE LÂM SÀNG: ĐIỀU TRỊ UNG THƯ PHỔI TẾ BÀO NHỎ BẰNG THUỐC MIỄN DỊCH KẾT HỢP VỚI HOÁ TRỊ TẠI BỆNH VIỆN BẠCH MAI GS. TS. Mai Trọng Khoa, PGS. TS. Phạm Cẩm Phương, PGS. TS. Phạm Văn Thái, BSCKI. Nguyễn Thu Trang, BSNT. Đỗ Thị Thanh Xuân Trung...
TIẾP CẬN CHẨN ĐOÁN VÀ QUẢN LÝ BỆNH NHÂN CÓ NHÂN TUYẾN GIÁP
TIẾP CẬN CHẨN ĐOÁN VÀ QUẢN LÝ BỆNH NHÂN CÓ NHÂN TUYẾN GIÁP BSNT. Vũ Thị Minh Hòa, GS. TS. Mai Trọng Khoa, PGS. TS. Phạm Cẩm Phương, PGS. TS. Phạm Văn Thái, Trung tâm Y học hạt nhân và Ung bướu – Bệnh viện Bạch Mai (Tổng hợp)...
CASE LÂM SÀNG: CHẨN ĐOÁN BỆNH NHÂN ĐỒNG MẮC BA LOẠI UNG THƯ TẠI TRUNG TÂM Y HỌC HẠT NHÂN VÀ UNG BƯỚU, BỆNH VIỆN BẠCH MAI
CASE LÂM SÀNG: CHẨN ĐOÁN BỆNH NHÂN ĐỒNG MẮC BA LOẠI UNG THƯ TẠI TRUNG TÂM Y HỌC HẠT NHÂN VÀ UNG BƯỚU, BỆNH VIỆN BẠCH MAI GS. TS. Mai Trọng Khoa, PGS. TS. Phạm Cẩm Phương, PGS. TS. Phạm Văn Thái, BSNT. Đỗ Thị Thu Trang Trung tâm Y...
Điều trị đích bệnh nhân ung thư phổi không tế bào nhỏ có tổn thương di căn gan tại Bệnh viện Bạch Mai
Điều trị đích bệnh nhân ung thư phổi không tế bào nhỏ có tổn thương di căn gan tại Bệnh viện Bạch Mai GS. TS. Mai Trọng Khoa, PGS. TS. Phạm Cẩm Phương, PGS. Phạm Văn Thái, TS. Nguyễn Thanh Hùng, BSCKII. Thiều Thị Hằng, BSNT. Nguyễn Văn Sơn Trung...
CASE LÂM SÀNG: ĐIỀU TRỊ UNG THƯ PHỔI TẾ BÀO NHỎ ĐÁP VỚI PHÁC ĐỒ ETOPOSID – CARBOPLATIN KẾT HỢP DURVALUMAB
CASE LÂM SÀNG ĐIỀU TRỊ UNG THƯ PHỔI TẾ BÀO NHỎ ĐÁP VỚI PHÁC ĐỒ ETOPOSID – CARBOPLATIN KẾT HỢP DURVALUMAB GS. TS. Mai Trọng Khoa (1)(2), PGS. TS. Phạm Cẩm Phương (1)(2), ThS. BS. Nguyễn Thu Trang(1), BSNT. Nguyễn Tiến Nam (2), BSNT. Ngô Xuân Anh (2) 1.Trung tâm...
MỘT SỐ BIẾN CHỨNG SAU PHẪU THUẬT CẮT TUYẾN GIÁP TRONG ĐIỀU TRỊ UNG THƯ TUYẾN GIÁP
MỘT SỐ BIẾN CHỨNG SAU PHẪU THUẬT CẮT TUYẾN GIÁP TRONG ĐIỀU TRỊ UNG THƯ TUYẾN GIÁP BSNT. Phạm Thị Như Quỳnh, GS. TS. Mai Trọng Khoa, PGS. TS. Phạm Cẩm Phương, PGS. TS. Phạm Văn Thái Trung tâm Y học hạt nhân và Ung bướu – Bệnh viện Bạch...
CASE LÂM SÀNG Điều trị bệnh nhân mắc đồng thời hai loại ung thư: Ung thư phổi và ung thư tuyến tiền liệt
CASE LÂM SÀNG Điều trị bệnh nhân mắc đồng thời hai loại ung thư: Ung thư phổi và ung thư tuyến tiền liệt GS. TS. Mai Trọng Khoa, PGS.TS Phạm Cẩm Phương, Ths. BS. Hoàng Công Tùng, BSNT Nguyễn Đức Thịnh, BS. Trương Thùy An Trung tâm Y học hạt...
Tổng quan về cục diện kháng thuốc EGFR TKI trong ung thư phổi không tế bào nhỏ có đột biến EGFR: Cơ chế và các hướng tiếp cận điều trị mới
Tổng quan về cục diện kháng thuốc EGFR TKI trong ung thư phổi không tế bào nhỏ có đột biến EGFR: Cơ chế và các hướng tiếp cận điều trị mới BSNT. Nguyễn Thị Thuý Hường2, GS. TS. Mai Trọng Khoa1,2, PGS. TS Phạm Cẩm Phương1,2, PGS. TS. Phạm Văn...
Case lâm sàng: Điều trị miễn dịch kết hợp thuốc kháng tăng sinh mạch cho bệnh nhân ung thư biểu mô tế bào gan tại trung tâm y học hạt nhân và ung bướu – BV Bạch Mai
Case lâm sàng: Điều trị miễn dịch kết hợp thuốc kháng tăng sinh mạch cho bệnh nhân ung thư biểu mô tế bào gan tại trung tâm y học hạt nhân và ung bướu – BV Bạch Mai GS. TS. Mai Trọng Khoa(1)(2), PGS. TS. Phạm Cẩm Phương(1)(2), TS. BS....
Vi-rút HPV 16: Thủ phạm gây ung thư họng
Kháng thể này được phát hiện trong mẫu máu của bệnh nhân thậm chí trong cả mẫu máu lấy hơn 10 năm trước khi bị chẩn đoán ung thư. Nhiễm một số chủng vi-rút HPV (vi-rút gây bệnh ung thư tử cung) làm tăng đáng kể nguy cơ ung thư...
