Ca lâm sàng
ĐIỀU TRỊ UNG THƯ ĐẠI TRÀNG BỊ VỠ U TRÊN BỆNH NHÂN VỊ THÀNH NIÊN
ĐIỀU TRỊ UNG THƯ ĐẠI TRÀNG BỊ VỠ U TRÊN BỆNH NHÂN VỊ THÀNH NIÊN GS.TS. Mai Trọng Khoa, Ths.BS Lê Văn Long, BSNT Trần Anh Đức, Đinh Khắc Minh Ung thư đại trực tràng là một trong những bệnh lý ác tính phổ biến nhất trên toàn cầu...
Ca lâm sàng: Điều trị đích bệnh nhân ung thư phổi không tế bào nhỏ giai đoạn muộn di căn nhiều cơ quan, tại Trung tâm Y học hạt nhân và Ung bướu – Bệnh viện Bạch Mai
Ca lâm sàng: Điều trị đích bệnh nhân ung thư phổi không tế bào nhỏ giai đoạn muộn di căn nhiều cơ quan, tại Trung tâm Y học hạt nhân và Ung bướu – Bệnh viện Bạch Mai GS.TS. Mai Trọng Khoa, BSNT. Nguyễn Bảo Linh, PGS.TS. Phạm Cẩm Phương, BSCKII....
Điều trị ung thư phổi di căn não tại Trung tâm Y học hạt nhân và Ung bướu – Bệnh viện Bạch Mai
Điều trị ung thư phổi di căn não tại Trung tâm Y học hạt nhân và Ung bướu – Bệnh viện Bạch Mai GS Mai Trọng Khoa, BSNT Tiêu Quang Trường, PGS Phạm Cẩm Phương, ThS Hoàng Công Tùng Trung tâm Y học hạt nhân và Ung bướu Bệnh...
Khám sức khỏe định kỳ phát hiện khối u hạ vị kích thước 15cm
GS. TS. Mai Trọng Khoa, TS. Phạm Cẩm Phương, BS. Nguyễn Thị Lựu Trung tâm y học hạt nhân và Ung bướu Bệnh viện Bạch Mai Bệnh cảnh: Bệnh nhân Ngô Viết Th., nam 73 tuổi, Nhập viện vào Trung tâm Y học hạt nhân và Ung bướu-Bệnh viện Bạch Mai ngày 04 tháng 7 năm 2012 vì...
Ca lâm sàng: Hiệu quả điều trị đích bằng Osimertinib ở bệnh nhân ung thư biểu mô tuyến của phổi giai đoạn IV có đột biến gen EGFR L858R (Exon 21) tại Trung tâm Y học hạt nhân và Ung bướu – Bệnh viện Bạch Mai
Ca lâm sàng: Hiệu quả điều trị đích bằng Osimertinib ở bệnh nhân ung thư biểu mô tuyến của phổi giai đoạn IV có đột biến gen EGFR L858R (Exon 21) tại Trung tâm Y học hạt nhân và Ung bướu – Bệnh viện Bạch Mai GS.TS Mai Trọng Khoa,...
Ung thư không phải đại trực tràng có Chỉ số Bất ổn Vi Vệ Tinh cao / Thiếu hụt enzyme sửa chữa bắt cặp sai (High MSI/d-MMR): Kết quả từ Nghiên cứu Pha II KEYNOTE-158
CN. Vũ Bình Thư (Dịch) Đơn vị Gen-Tế bào gốc, Trung tâm Y học hạt nhân và Ung bướu Bệnh viện Bạch Mai MỤC ĐÍCH Bộ gen của các khối u bị thiếu hụt enzyme sửa chữa bắt cặp sai (dMMR) có tính bất ổn định vi vệ tinh cao...
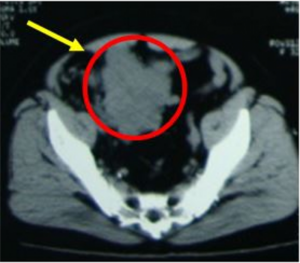
Ca lâm sàng: Ung thư đại tràng ở bệnh nhân 15 tuổi
GS.TS Mai Trọng Khoa; BSNT Hoàng Mạnh Đức, Ths Bùi Quang Lộc , PGS.TS Phạm Cẩm Phương, Bsck II Hoàng Anh, Trung tâm y học hạt nhân và ung bướu, bệnh viện Bạch Mai Đại học Y Hà Nội Trung tâm cấp cứu A9, bệnh viện Bạch Mai Ung thư...
Case lâm sàng: Ứng dụng trí tuệ nhân tạo (Artificial intelligence – AI) trong chẩn đoán và điều trị sớm Ung thư phổi tại Trung tâm Y học hạt nhân và Ung bướu, Bệnh viện Bạch Mai
Case lâm sàng: Ứng dụng trí tuệ nhân tạo (Artificial intelligence – AI) trong chẩn đoán và điều trị sớm Ung thư phổi tại Trung tâm Y học hạt nhân và Ung bướu, Bệnh viện Bạch Mai GS.TS. Mai Trọng Khoa, PGS.TS. Phạm Cẩm Phương, BSNT Nguyễn Ngọc Ánh...
CASE LÂM SÀNG ĐIỀU TRỊ MIỄN DỊCH UNG THƯ PHỔI DI CĂN NÃO TẠI BỆNH VIỆN BẠCH MAI
CASE LÂM SÀNG ĐIỀU TRỊ MIỄN DỊCH UNG THƯ PHỔI DI CĂN NÃO TẠI BỆNH VIỆN BẠCH MAI GS.TS. Mai Trọng Khoa, BSNT Nguyễn Đức Thịnh, PGS.TS. Phạm Cẩm Phương, PGS.TS. Phạm Văn Thái, Trung tâm Y học hạt nhân và Ung bướu, Bệnh viện Bạch Mai Ung thư...
Ca lâm sàng: Điều trị hóa chất kết hợp liệu pháp miễn dịch ở bệnh nhân ung thư phổi không tế bào nhỏ giai đoạn IV tại Trung tâm Y học hạt nhân và Ung bướu – Bệnh viện Bạch Mai
Ca lâm sàng: Điều trị hóa chất kết hợp liệu pháp miễn dịch ở bệnh nhân ung thư phổi không tế bào nhỏ giai đoạn IV tại Trung tâm Y học hạt nhân và Ung bướu – Bệnh viện Bạch Mai GS.TS Mai Trọng Khoa, BSNT. Vũ Mạnh Cường, PGS.TS...
