Ca lâm sàng
CASE LÂM SÀNG: CHẨN ĐOÁN BỆNH NHÂN MẮC HAI UNG THƯ: GIST RUỘT NON VÀ UNG THƯ TUYẾN GIÁP TẠI TRUNG TÂM Y HỌC HẠT NHÂN VÀ UNG BƯỚU, BỆNH VIỆN BẠCH MAI
CASE LÂM SÀNG: CHẨN ĐOÁN BỆNH NHÂN MẮC HAI UNG THƯ: GIST RUỘT NON VÀ UNG THƯ TUYẾN GIÁP TẠI TRUNG TÂM Y HỌC HẠT NHÂN VÀ UNG BƯỚU, BỆNH VIỆN BẠCH MAI GS. TS. Mai Trọng Khoa, BSNT. Đỗ Thị Thu Trang, PGS. TS. Phạm Cẩm Phương, ThS. Phạm...
CA LÂM SÀNG: ĐIỀU TRỊ ĐA MÔ THỨC UNG THƯ TRỰC TRÀNG TẠI BỆNH VIỆN BẠCH MAI
CA LÂM SÀNG: ĐIỀU TRỊ ĐA MÔ THỨC UNG THƯ TRỰC TRÀNG TẠI BỆNH VIỆN BẠCH MAI GS. TS. Mai Trọng Khoa, PGS. TS. Phạm Cẩm Phương, PGS. TS. Phạm Văn Thái, ThS. BSNT. Hoàng Công Tùng, ThS. Lê Văn Long, Sinh viên Ngô Phương Thủy Đặt vấn đề Ung...
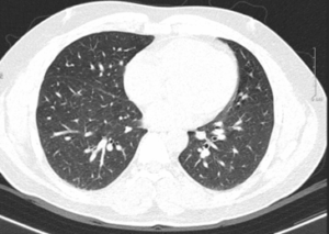
CA LÂM SÀNG: Điều trị ung thư phổi không tế bào nhỏ di căn, giai đoạn muộn tại Trung tâm Y học hạt nhân và Ung bướu-Bệnh viên Bạch Mai
CA LÂM SÀNG: Điều trị ung thư phổi không tế bào nhỏ di căn, giai đoạn muộn tại Trung tâm Y học hạt nhân và Ung bướu-Bệnh viên Bạch Mai GS. TS. Mai Trọng Khoa, PGS. TS. Phạm Cẩm Phương, PGS. TS. Phạm Văn Thái ThS. Lê Quang Hiển, BSNT....
CASE LÂM SÀNG: U HẦU HỌNG – THỰC QUẢN
CASE LÂM SÀNG: U HẦU HỌNG – THỰC QUẢN GS. TS. Mai Trọng Khoa, PGS. TS. Phạm Cẩm Phương, ThS. Lê Quang Hiển, Triệu Thị Vân Anh Trung tâm Y học hạt nhân và Ung bướu, bệnh viện Bạch Mai Trường Đại học Y Dược- Đại học Quốc Gia Hà...
CA LÂM SÀNG: ĐIỀU TRỊ TÂN BỔ TRỢ VỚI PHÁC ĐỒ TCH Ở BỆNH NHÂN UNG THƯ VÚ TẠI BỆNH VIỆN BẠCH MAI
CA LÂM SÀNG: ĐIỀU TRỊ TÂN BỔ TRỢ VỚI PHÁC ĐỒ TCH Ở BỆNH NHÂN UNG THƯ VÚ TẠI BỆNH VIỆN BẠCH MAI GS. TS. Mai Trọng Khoa1,2, BSNT. Nguyễn Quang Huy3 ,BSNT. Nguyễn Thị Thuý Hường2, PGS. TS. Phạm Cẩm Phương1,2, PGS. TS. Phạm Văn Thái1,3, BSCKII. Nguyễn Thị...
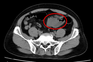
CASE LÂM SÀNG: U Thần kinh nội tiết tế bào lớn biểu hiện tại gan
CASE LÂM SÀNG U Thần kinh nội tiết tế bào lớn biểu hiện tại gan GS. TS. Mai Trọng Khoa, PGS. TS. Phạm Cẩm phương, PGS. TS. Phạm Văn Thái, ThS. BSNT. Hoàng Công Tùng, SV. Lê Thu Hương 1. Trung tâm Y học hạt nhân và Ung bướu, Bệnh...
CA LÂM SÀNG: ĐIỀU TRỊ UNG THƯ ĐẠI TRÀNG TÁI PHÁT DI CĂN PHỔI, TUYẾN THƯỢNG THẬN
CA LÂM SÀNG: ĐIỀU TRỊ UNG THƯ ĐẠI TRÀNG TÁI PHÁT DI CĂN PHỔI, TUYẾN THƯỢNG THẬN GS Mai Trọng Khoa, PGS Phạm Cẩm Phương, ThS. Lê Quang Hiển, SV Đỗ Thị Dinh Trung tâm Y học hạt nhân và Ung bướu, bệnh viện Bạch Mai Trường Đại học Y...
Ca lâm sàng: Bệnh nhân mắc 3 loại ung thư: ung thư hạ họng, ung thư biểu mô tế bào gan, ung thư thực quản tại Trung tâm Y học hạt nhân và Ung bướu Bệnh viện Bạch Mai
Ca lâm sàng: Bệnh nhân mắc 3 loại ung thư: ung thư hạ họng, ung thư biểu mô tế bào gan, ung thư thực quản tại Trung tâm Y học hạt nhân và Ung bướu Bệnh viện Bạch Mai TS Mai Trọng Khoa1,2, PGS. TS Phạm Cẩm Phương1,2, TS.BS Phạm...
Ca lâm sàng Điều trị bệnh nhân U lympho Hodgkin típ hỗn hợp tế bào tại Trung tâm Y học hạt nhân và Ung bướu – Bệnh viện Bạch Mai
Ca lâm sàng Điều trị bệnh nhân U lympho Hodgkin típ hỗn hợp tế bào tại Trung tâm Y học hạt nhân và Ung bướu – Bệnh viện Bạch Mai GS. TS. Mai Trọng Khoa, PGS. TS. Phạm Cẩm Phương, BSCKII. Lê Viết Nam, BSNT. Nguyễn Bảo Linh Trung tâm Y...
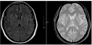
CA LÂM SÀNG: ĐIỀU TRỊ UNG THƯ PHỔI BIỂU MÔ TUYẾN DI CĂN XƯƠNG
CA LÂM SÀNG: ĐIỀU TRỊ UNG THƯ PHỔI BIỂU MÔ TUYẾN DI CĂN XƯƠNG GS. TS. Mai Trọng Khoa – PGS. TS. Phạm Cẩm Phương – PGS. TS. Phạm Văn Thái – ThS. Hoàng Công Tùng – SV Lê Đình Minh Hiếu Đặt vấn đề: Ung thư phổi...
