Tin tức
CASE LÂM SÀNG ĐIỀU TRỊ UNG THƯ PHỔI KHÔNG TẾ BÀO NHỎ ÂM TÍNH VỚI PD-L1
CASE LÂM SÀNG ĐIỀU TRỊ UNG THƯ PHỔI KHÔNG TẾ BÀO NHỎ ÂM TÍNH VỚI PD-L1 GS.TS Mai Trọng Khoa 1,2, PGS.TS Phạm Cẩm Phương 1,2, TS.BS Phạm Văn Thái BSNT. Phùng Thế Thông 1Trung Tâm Y học hạt nhân và Ung bướu, Bệnh viện Bạch Mai 2Trường Đại...
CASE LÂM SÀNG: DẤU ẤN SINH HỌC UNG THƯ CA 19-9 TRONG NHIỄM KHUẨN ĐƯỜNG MẬT
CASE LÂM SÀNG: DẤU ẤN SINH HỌC UNG THƯ CA 19-9 TRONG NHIỄM KHUẨN ĐƯỜNG MẬT GS. TS. BS. Mai Trọng Khoa1,2, BSNT. Trần Thế Hoàng2, PGS.TS. BS. Phạm Cẩm Phương1,2, ThS. BS. Lê Quang Hiển1,2, 1Trung tâm Y học hạt nhân và Ung bướu, Bệnh viện Bạch Mai...
BIẾN CHỨNG SAU NÚT MẠCH HÓA CHẤT ĐIỀU TRỊ UNG THƯ BIỂU MÔ TẾ BÀO GAN
BIẾN CHỨNG SAU NÚT MẠCH HÓA CHẤT ĐIỀU TRỊ UNG THƯ BIỂU MÔ TẾ BÀO GAN BSNT. Đỗ Thị Thu Trang, GS.TS Mai Trọng Khoa, PGS.TS. Phạm Cẩm Phương Trung tâm Y học hạt nhân và Ung bướu Bệnh viện Bạch Mai (Tổng hợp) 1. ĐẠI CƯƠNG Nút mạch...
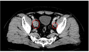
BIẾN CHỨNG SAU NÚT MẠCH HÓA CHẤT ĐIỀU TRỊ UNG THƯ BIỂU MÔ TẾ BÀO GAN
BIẾN CHỨNG SAU NÚT MẠCH HÓA CHẤT ĐIỀU TRỊ UNG THƯ BIỂU MÔ TẾ BÀO GAN BSNT. Đỗ Thị Thu Trang, GS.TS Mai Trọng Khoa, PGS.TS. Phạm Cẩm Phương Trung tâm Y học hạt nhân và Ung bướu Bệnh viện Bạch Mai (Tổng hợp) 1. ĐẠI CƯƠNG Nút mạch...
Điều trị miễn dịch kết hợp hóa chất bệnh nhân ung thư phổi tế bào nhỏ giai đoạn lan tràn tại Trung tâm Y học hạt nhân và Ung bướu – Bệnh viện Bạch Mai
Điều trị miễn dịch kết hợp hóa chất bệnh nhân ung thư phổi tế bào nhỏ giai đoạn lan tràn tại Trung tâm Y học hạt nhân và Ung bướu – Bệnh viện Bạch Mai GS.TS. Mai Trọng Khoa, BSNT. Trần Thị Thúy Ngân, PGS.TS. Phạm Cẩm Phương, Ths.BS....
CA LÂM SÀNG: CHẨN ĐOÁN VÀ ĐIỀU TRỊ U SCHWANNOMA DẠ DÀY TẠI TRUNG TÂM Y HỌC HẠT NHÂN VÀ UNG BƯỚU BỆNH VIỆN BẠCH MAI
CA LÂM SÀNG: CHẨN ĐOÁN VÀ ĐIỀU TRỊ U SCHWANNOMA DẠ DÀY TẠI TRUNG TÂM Y HỌC HẠT NHÂN VÀ UNG BƯỚU BỆNH VIỆN BẠCH MAI GS. TS Mai Trọng Khoa1,2, PGS. TS Phạm Cẩm Phương1,2, TS.BS Phạm Văn Thái1,3, BSNT. Nguyễn Thị Thuý Hường2. (1) Trung tâm...
Hội nghị khoa học quốc tế Hội Miễn dịch trị liệu ung thư Việt Nam lần thứ hai năm 2025
Kính gửi Quý Đại biểu, Trong 2 ngày 01 – 02/8/2025 vừa qua, Hội Miễn dịch trị liệu ung thư Việt Nam đã phối hợp cùng Bệnh viện Đa khoa Tâm Anh tổ chức thành công Hội nghị khoa học quốc tế Hội Miễn dịch trị liệu ung...
TP.HCM: Hội nghị Miễn dịch trị liệu ung thư quốc tế lần 2
Vừa qua, Hội Miễn dịch trị liệu ung thư Việt Nam phối hợp với Viện Nghiên cứu Tâm Anh (TAMRI) tổ chức Hội nghị khoa học thường niên lần thứ 2 năm 2025. Phát biểu tại Hội nghị, Tiến sĩ, Bác sĩ Nguyễn Tri Thức, Thứ trưởng Y tế cho...
Tỷ lệ mắc và tử vong do ung thư tại Việt Nam gia tăng
Tỷ lệ mắc và tử vong do ung thư tại Việt Nam gia tăng Sáng 2/8 tại TP.HCM, Hội miễn dịch trị liệu ung thư Việt Nam phối hợp với Viện Nghiên cứu Tâm Anh (TAMRI) tổ chức Hội nghị khoa học thường niên năm 2025. Phát biểu tại Hội nghị, Tiến...
