Tin tức
Miễn dịch trị liệu ung thư – bước tiến vượt bậc của y học hiện đại
Miễn dịch trị liệu ung thư – bước tiến vượt bậc của y học hiện đại Đó là khẳng định của Thứ trưởng Bộ Y tế Nguyễn Tri Thức tại Hội nghị Khoa học Quốc tế thường niên lần thứ hai năm 2025, do Hội Miễn dịch trị liệu ung...
Dấu ấn học thuật đầu tiên của Chi hội Miễn dịch Trị liệu Ung thư Duyên hải Bắc Bộ tại Hải Phòng
Dấu ấn học thuật đầu tiên của Chi hội Miễn dịch Trị liệu Ung thư Duyên hải Bắc Bộ tại Hải Phòng Trong những năm gần đây, tỷ lệ mắc và tử vong do ung thư đang tăng lên không chỉ ở Việt Nam mà còn trên toàn thế giới....
Thông báo lần 1: Hội nghị Khoa học thường niên Hội Miễn dịch trị liệu ung thư Việt Nam lần thứ 2 – năm 2025
Hội Miễn dịch trị liệu ung thư Việt Nam được thành lập theo Quyết định số 479/QĐ-BNV/QĐ–BNV của Bộ Nội vụ ngày 06 tháng 7 năm 2023. Hội là tổ chức xã hội – nghề nghiệp, nơi tổ chức tập hợp và đại diện cho các nhà khoa học hoạt...
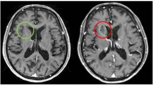
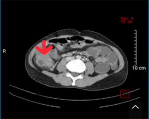
CASE LÂM SÀNG: ĐIỀU TRỊ MIỄN DỊCH BỆNH NHÂN UNG THƯ HẮC TỐ DI CĂN HẠCH, PHỔI TẠI TRUNG TÂM Y HỌC HẠT NHÂN VÀ UNG BƯỚU, BỆNH VIỆN BẠCH MAI.
CASE LÂM SÀNG: ĐIỀU TRỊ MIỄN DỊCH BỆNH NHÂN UNG THƯ HẮC TỐ DI CĂN HẠCH, PHỔI TẠI TRUNG TÂM Y HỌC HẠT NHÂN VÀ UNG BƯỚU, BỆNH VIỆN BẠCH MAI. GS.TS Mai Trọng Khoa, BSNT. Mai Thị Quỳnh, PGS.TS Phạm Cẩm Phương, TS. Phạm Văn Thái, TS. Nguyễn Thanh...
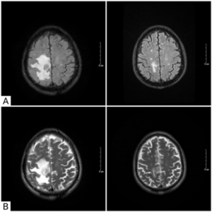
Điều trị bệnh nhân ung thư phổi di căn não giai đoạn muộn tại Trung tâm Y học hạt nhân và Ung bướu-Bệnh viện Bạch Mai
CASE LÂM SÀNG Điều trị bệnh nhân ung thư phổi di căn não giai đoạn muộn tại Trung tâm Y học hạt nhân và Ung bướu-Bệnh viện Bạch Mai PGS.TS. Phạm Cẩm Phương1,2, GS.TS. Mai Trọng Khoa1,2, Sinh viên Nguyễn Thị Hải Anh,2 1Trung tâm Y học hạt nhân và...
HỘI NGHỊ KHOA HỌC THƯỜNG NIÊN HỘI MIỄN DỊCH TRỊ LIỆU UNG THƯ VIỆT NAM LẦN THỨ NHẤT
HỘI NGHỊ KHOA HỌC THƯỜNG NIÊN HỘI MIỄN DỊCH TRỊ LIỆU UNG THƯ VIỆT NAM LẦN THỨ NHẤT NĂM 2024 Hội Miễn dịch trị liệu ung thư Việt Nam là một tổ chức xã hội – nghề nghiệp, là nơi tổ chức tập hợp và đại diện cho các nhà...
Đại hội thành lập Hội Miễn dịch trị liệu ung thư Việt Nam nhiệm kỳ I (2023 – 2028)
Đại hội thành lập Hội Miễn dịch trị liệu ung thư Việt Nam nhiệm kỳ I (2023 – 2028) Ngày 08/8/2023, tại Hội trường tầng 3, Nhà khách Chính phủ (số 8, Chu Văn An, Ba Đình, Hà Nội) đã diễn ra Đại hội thành lập Hội Miễn dịch trị...
