CA LÂM SÀNG:
CHẨN ĐOÁN VÀ ĐIỀU TRỊ BỆNH NHÂN MẮC ĐỒNG THỜI UNG THƯ VÚ HAI BÊN TẠI TRUNG TÂM Y HỌC HẠT NHÂN VÀ UNG BƯỚU BỆNH VIỆN BẠCH MAI
GS.TS Mai Trọng Khoa 1,2 , PGS. TS Phạm Cẩm Phương 1,2 ,TS.BS Phạm Văn Thái 1,3 ,
BSNT. Nguyễn Khánh Hoàng, 2
(1) Trung tâm Y học hạt nhân và Ung bướu – Bệnh viện Bạch Mai
(2) Trường Đại học Y Dược – Đại học Quốc gia Hà Nội
(3) Trường Đại học Y Hà Nội
Ung thư vú là một trong những loại ung thư có tỷ lệ mắc cao nhất ở phụ nữ trên thế giới cũng như tại Việt Nam. Theo GLOBOCAN 2022, trên thế giới ghi nhận được gần 2,3 triệu ca mắc mới ung thư vú, chiếm 11,6% trong số các bệnh ung thư, và tỷ lệ tử vong là 666 000 ca, đứng thứ tư trên toàn cầu và đứng thứ hai tại Châu Á. Tại Việt Nam, con số ghi nhận được là hơn 24 000 ca mắc mới mỗi năm, vượt lên trên ung thư gan trở thành bệnh ung thư có tỷ lệ mắc mới cao nhất. Số lượng bệnh nhân tử vong mỗi năm ghi nhận được là hơn 10000 người, chiếm 8,3% số ca tử vong do ung thư, đứng thứ tư sau ung thư gan, ung thư phổi, ung thư dạ dày.
Các thống kê ghi nhận được có một tỷ lệ nhỏ (5-6%) số bệnh nhân xuất hiện ung thư vú lần lượt ở hai bên, và tỷ lệ bệnh nhân mang đồng thời hai khối u nguyên phát ở hai bên vú là rất thấp với chỉ 1-2% số ca mắc. Việc xuất hiện đồng thời hai tổn thương, đặc biệt là khi hai khối u có đặc điểm mô bệnh học khác nhau, đã đặt ra thách thức đáng kể trong chẩn đoán và điều trị. Việc tiếp cận đa chuyên khoa thông qua Hội đồng đa chuyên khoa (MDT – Multidisciplinary Team) đã mở ra một hướng đi mới trong ung thư hiện đại, giúp tối ưu hóa quá trình chẩn đoán và điều trị, mang lại chất lượng sống tốt hơn cho người bệnh. Dưới đây là ca lâm sàng về trường hợp bệnh nhân bị ung thư vú hai bên đồng thời được chẩn đoán và điều trị tại Trung tâm Y học hạt nhân và Ung bướu, Bệnh viện Bạch Mai.
Bệnh nhân: Nguyễn Thị N.
Giới tính: Nữ
Tuổi: 45
Ngày vào viện: 20/01/2025
Lý do vào viện: Tự sờ thấy khối ở vú phải
Tiền sử:
- Bản thân: Viêm gan B chưa điều trị gì
- Gia đình: Chưa phát hiện bất thường
Bệnh sử: 2 tháng trước khi vào viện, bệnh nhân tự sờ thấy khối ở vú phải, tức nhẹ, không sốt, không gầy sút cân. Bệnh nhân đi khám tại Bệnh viện Bạch Mai, chụp XQuang và siêu âm tuyến vú phát hiện khối u hai bên vú → Nhập viện vào Trung tâm Y học hạt nhân và Ung bướu đánh giá tiếp và xét điều trị.
Khám lâm sàng:
- Bệnh nhân tỉnh, tiếp xúc tốt
- Huyết động ổn định, không sốt
- Thể trạng trung bình
- Da niêm mạc hồng, không phù, không xuất huyết dưới da
- Tuyến giáp không to, hạch ngoại vi không sờ thấy
- Không đau ngực, không khó thở, phổi thông khí đều hai bên
- Tim đều, T1 T2 rõ, mạch ngoại vi bắt rõ, đầu chi hồng ấm
- Vú phải ở vị trí 10h có khối chắc, di động, ranh giới rõ, kích thước ~3cm, không đau, không sưng nóng đỏ, không chảy dịch bất thường
- Bụng mềm, không chướng, đại tiểu tiện bình thường
- Các cơ quan khác chưa phát hiện bất thường
Cận lâm sàng:
– Xét nghiệm máu: Công thức máu, sinh hóa máu, đông máu trong giới hạn bình thường
– Vi sinh: HBsAg dương tính, HIV âm tính, HCV âm tính
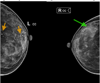
– Chụp XQuang tuyến vú: Vài nốt vi vôi hóa trung tâm rải rác hai vú – BIRADs 2. ¼ trên ngoài vú phải có đám tăng đậm độ bất đối xứng kích thước 30x33mm – BIRADs 3.

Hình 1. Vài nốt vi vôi hóa rải rác (mũi tên vàng). Đám tăng đậm độ bất đối xứng ở vú phải (mũi tên xanh)
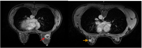
– Chụp cộng hưởng từ tuyến vú: Hình ảnh tổn thương vú trái (phân loại BIRADS 4C). Tổn thương dạng nang phức hợp vú phải (phân loại BIRADS 4A).

Hình 2. Hình ảnh MRI: Vú phải: Vị trí khoảng 11h, cách núm vú 35mm, có tổn thương dạng nang phức hợp kích thước 26x25x27mm, bờ đều ranh giới rõ, thành dày không đều và ngấm thuốc sau tiêm – BIRADs 4A (mũi tên đỏ). Vú trái: Vị trí khoảng 1h, cách núm vú 45mm có nốt tổn thương kích thước 18x13x9mm, bờ tua gai, co kéo nhẹ nhu mô tuyến vú lân cận; không thấy xâm lấn da và thành ngực – BIRADs 4C (mũi tên vàng).
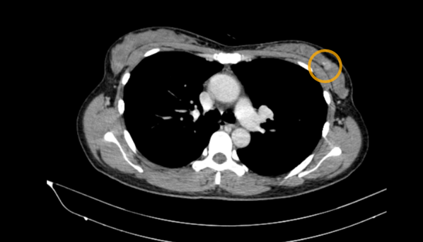
– Chụp cắt lớp vi tính ngực: Nốt bán đặc thùy dưới phổi phải ~6mm, các ổ ngấm thuốc kém hai vú, kích thước ~14x11mm

Hình 3. Hình ảnh CT lồng ngực: Ổ ngấm thuốc kém vú trái (vòng tròn vàng)
– Chụp cắt lớp vi tính bụng: Tử cung có các khối, nốt ngấm thuốc kém, khối lớn kích thước ~ 41x28mm. Nhu mô gan phải có vài nang, đường kính ~ 5mm
– Chụp cắt lớp vi tính sọ não: Hiện chưa phát hiện bất thường
– Mô bệnh học:
- Vú phải: Mô bệnh học và hóa mô miễn dịch phù hợp với u phyllode ác tính
- Vú trái: Ung thư biểu mô xâm nhập, NST, độ 3, típ phân tử bộ ba âm tính, Ki67 (+) tỉ lệ cao, CK5/6 (-)
– Chẩn đoán xác định: U phyllode ác tính vú phải – Ung thư biểu mô xâm nhập vú trái, NST, độ 3, ER(-), PR(-), Her2 (-)/Viêm gan B
Xử trí: Bệnh nhân được hội chẩn hội đồng đa chuyên khoa về ung thư vú tại Bệnh viện Bạch Mai, với sự tham gia của các chuyên gia về các chuyên ngành Ung bướu, Phẫu thuật tạo hình, Giải phẫu bệnh, Chẩn đoán hình ảnh…. Hiện tại bệnh nhân đang trong quá trình điều trị tân bổ trợ phác đồ 4AC-4T, sau khi hoàn thành quá trình điều trị, bệnh nhân sẽ được đánh giá lại một lần nữa để xét phẫu thuật loại bỏ u và tạo hình lại tuyến vú.
Bàn luận: Ca lâm sàng trên là một trường hợp hiếm gặp, cũng là minh chứng cho sự phức tạp của ung thư vú, khi bệnh nhân mắc đồng thời hai ung thư vú ở hai bên và có sự không đồng nhất về mô bệnh học và đặc điểm phân tử. Trường hợp này không chỉ đặt ra thách thức trong việc chẩn đoán chính xác hai loại tổn thương mà còn thể hiện sự phức tạp trong cách tiếp cận điều trị, đòi hỏi phải có chiến lược toàn diện và cá thể hóa. Với Hội đồng đa chuyên khoa, mỗi giai đoạn từ chẩn đoán hình ảnh, đánh giá mô bệnh học, đến lập ra chiến lược điều trị hóa chất tân bổ trợ rồi xét phẫu thuật, từng bước đều được thực hiện dưới sự xem xét và quyết định với tính chuyên môn rất cao. Phương pháp tiếp cận này không chỉ giúp đưa ra phác đồ điều trị tối ưu, cá thể hóa cho từng bệnh nhân mà còn góp phần nâng cao hiệu quả điều trị, cải thiện tiên lượng và chất lượng cuộc sống cho những bệnh nhân mắc các bệnh lý ung thư phức tạp. Việc tiếp tục nghiên cứu và áp dụng rộng rãi mô hình MDT là cần thiết để nâng cao hiệu quả quản lý ung thư vú trên thế giới nói chung và tại Việt Nam nói riêng, và tiếp tục trở thành một cột trụ vững chải trong chuyên ngành Ung thư.
