CASE LÂM SÀNG:
ĐIỀU TRỊ UNG THƯ PHỔI TẾ BÀO NHỎ BẰNG LIỆU PHÁP MIỄN DỊCH TẠI TRUNG TÂM YHHN VÀ UNG BƯỚU BỆNH VIỆN BẠCH MAI
GS.TS. Mai Trọng Khoa, PGS.TS. Phạm Cẩm Phương, TS. Phạm Văn Thái, BSNT Nguyễn Minh Hiếu.
Trung tâm Y học hạt nhân và Ung bướu, Bệnh viện Bạch Mai
Ung thư phổi tế bào nhỏ (Small Cell Lung Cancer – SCLC) là một loại ung thư phổi ác tính, chiếm khoảng 10-15% tổng số ca ung thư phổi. Theo số liệu từ GLOBOCAN 2022, trên toàn thế giới, ung thư phổi đứng đầu về số ca mắc mới với 2.489.675 trường hợp và số ca tử vong là 1.817.469. Tại Việt Nam, năm 2022, ung thư phổi đứng thứ ba trong các bệnh lý ung thư thường gặp chỉ sau ung thư vú và xấp xỉ bằng ung thư gan, với 24.426 ca mắc mới và 22.597 ca tử vong mỗi năm. Nguyên nhân chính dẫn đến ung thư phổi, bao gồm hút thuốc lá, tiếp xúc với các chất gây ung thư trong môi trường như amiăng, radon, và ô nhiễm không khí.
Ung thư phổi được chia thành hai thể mô bệnh học chính:
- Ung thư phổi không tế bào nhỏ (Non-Small Cell Lung Cancer – NSCLC): Chiếm khoảng 85-90% các trường hợp, bao gồm các loại như ung thư biểu mô tuyến, ung thư biểu mô tế bào vảy và ung thư biểu mô tế bào lớn.
- Ung thư phổi tế bào nhỏ (Small Cell Lung Cancer – SCLC): Chiếm khoảng 10-15% các trường hợp, đặc trưng bởi sự phát triển nhanh chóng và khả năng di căn sớm.
So với NSCLC, SCLC tiến triển nhanh hơn và có tiên lượng sống kém hơn. Thời gian sống thêm toàn bộ (Overall Survival – OS) và thời gian sống thêm không bệnh tiến triển (Progression-Free Survival – PFS) của SCLC thường ngắn hơn so với NSCLC. Phương pháp điều trị chính cho SCLC truyền thống là hóa trị và xạ trị, nhưng do tính chất tiến triển nhanh và di căn sớm, hiệu quả điều trị còn hạn chế.
SCLC có xu hướng di căn sớm đến các cơ quan khác trong cơ thể, đặc biệt là não. Di căn não xảy ra ở một tỷ lệ đáng kể bệnh nhân SCLC, gây ra các triệu chứng thần kinh nghiêm trọng và ảnh hưởng lớn đến chất lượng cuộc sống. Việc quản lý và điều trị di căn não trong SCLC là một thách thức lớn, đòi hỏi sự kết hợp của nhiều phương pháp điều trị như xạ trị toàn não và liệu pháp toàn thân.
Liệu pháp miễn dịch đã mở ra một kỷ nguyên mới trong điều trị ung thư, bao gồm cả SCLC. Atezolizumab, một kháng thể đơn dòng chống PD-L1, đã được chứng minh có hiệu quả trong việc cải thiện thời gian sống thêm cho bệnh nhân SCLC. Kết quả từ các nghiên cứu lâm sàng cho thấy, việc kết hợp atezolizumab với hóa trị liệu trong điều trị bước một cho SCLC giai đoạn lan rộng đã cải thiện đáng kể thời gian sống thêm toàn bộ và thời gian sống thêm không bệnh tiến triển so với chỉ sử dụng hóa trị đơn thuần.
Sau đây là một trường hợp bệnh nhân được chẩn đoán mắc Ung thư phổi tế bào nhỏ giai đoạn khu trú, được điều trị bằng phác đồ kết hợp atezolizumab và hóa trị tại Trung tâm Y học hạt nhân và Ung bướu – Bệnh vện Bạch Mai.
Họ và tên: NGUYỄN Đ. N. Giới: Nam Tuổi: 85
Thời gian vào viện: Tháng 1 năm 2024
Lí do vào viện: ho kéo dài.
Bệnh sử:
Cách vào viện 2 tháng, bệnh nhân xuất hiện ho nhiều, ban đầu ho húng hắng từng cơn, về sau ho liên tục, kéo dài, ho nhiều vào sáng sớm, ho khạc đờm trắng trong, số lượng nhiều, không lẫn máu, kèm theo đau ngực trái âm ỉ, liên tục, không lan, xuất hiện không cùng với gắng sức về thể chất hay tinh thần. Bệnh nhân tự điều trị bằng thuốc nam không rõ tên thuốc, loại thuốc tại nhà, triệu chứng không giảm. Bệnh nhân mệt mỏi, ăn uống kém, sút 3 kg trong 2 tháng (cân nặng ban đầu 53kg). Trong quá trình diễn biến, bệnh nhân không xuất hiện sốt, không khó thở, không đau đầu, buồn nôn, không yếu liệt vận động, không hạn chế tầm vận động, không đau xương, khớp, không rối loạn đại, tiểu tiện. Bệnh nhân đi khám, chụp cắt lớp vi tính lồng ngực phát hiện u phổi bên trái. Sau đó chuyển đến Trung tâm Y học hạt nhân và Ung bướu – Bệnh viện Bạch Mai để điều trị.
Tiền sử:
- Hẹp động mạch vành phải do xơ vữa động mạch, phát hiện từ 2018, theo dõi thường xuyên tại y tế cơ sở, bệnh hiện tại ổn định.
- Hút thuốc lá: 40 bao-năm, đã bỏ cách đây 20 năm.
- Không phát hiện tiền sử dị ứng thuốc, thức ăn hay các dị nguyên khác.
- Tièn sử gia đình: chưa phát hiện bất thường.
Khám vào viện:
- Bệnh nhân tỉnh
- PS 1 (bệnh nhân có triệu chứng nhưng vẫn tự đi lại, sinh hoạt được)
- Thể trạng trung bình: chiều cao 150 cm, cân nặng 50 kg, chỉ số khối cơ thể (BMI): 22.2 (kg/cm2)
- Da niêm mạc hồng, không phù, không xuất huyết dưới da
- Hạch ngoại vi: không sờ thấy
- Tim mạch: nhịp tim đều, tần số: 72 chu kỳ/phút, T1, T2 rõ, không có tiếng tim bệnh lý. Không phát hiện ổ đập bất thường.
- Hô hấp: rì rào phế nang phổi trái giảm, ít rales rít/ rale ngáy khu trú vùng đỉnh phổi trái.
- Tiêu hóa: bụng mềm, không chướng, gan, lách không to, không sờ thấy khối.
- Thần kinh: Tỉnh, Glasgow 15/15 điểm, không đau đầu, không buồn nôn, gáy mềm, không có dấu hiệu thần kinh khu trú
- Cơ xương khớp: không đau, không hạn chế vận động.
- Các cơ quan bộ phận khác chưa phát hiện bất thường.
Cận lâm sàng:
- Công thức máu, sinh hóa máu, đông máu cơ bản trong giới hạn bình thường.
- Chất chỉ điểm u:
+ CEA: 10.88 ng/L – tăng cao (bình thường <5.0ng/mL)
+ Cyfra 21-1: 2.08 ng/L nằm trong giới hạn bình thường (bình thường <2.37)
Chẩn đoán hình ảnh:
- Siêu âm
- Siêu âm hạch vùng cổ, hạch thượng đòn: Hình ảnh siêu âm hạch vùng cổ không thấy bất thường.
- Siêu âm tuyến giáp: Hình ảnh nang đường kính 4mm tại thùy phải tuyến giáp (TIRADS 2).
- Siêu âm Doppler mạch cảnh: Hinh ảnh siêu âm Doppler động mạch cảnh – đốt sống đoạn ngoài sọ không thấy bất thường.
- Siêu âm tim: Không phát hiện bất thường.
- Siêu âm ổ bụng: Hình ảnh nang gan phải tại hạ phân thùy VI có nang kích thước 47x31mm. Phì đại tiền liệt tuyến, trọng lượng khoảng 59.9gram.
- Chụp cắt lớp vi tính lồng ngực:
- Phổi phải: nhu mô đồng nhất. Dày tổ chức kẽ kèm kính mờ nhu mô thùy dưới phổi phải. Giãn phế nang trung tâm lan tỏa rải rác nhu mô phổi. Giãn phế quản hình trụ rải rác nhiều ở thùy dưới. Nốt vôi hóa nhỏ 3mm đáy phổi phân thùy sau nền
- Phổi trái: nhu mô thùy trên phổi có nốt bờ không đều, tua gai, đường kính 13mm, kèm co kéo giãn nhẹ phế quản lân cận. Dày tổ chức kẽ kèm các dải xẹp phổi nhu mô phổi trái. Giãn phế nang trung tâm lan tỏa rải rác nhu mô phổi
- Không thấy hạch to hay khối choán chỗ trong trung thất

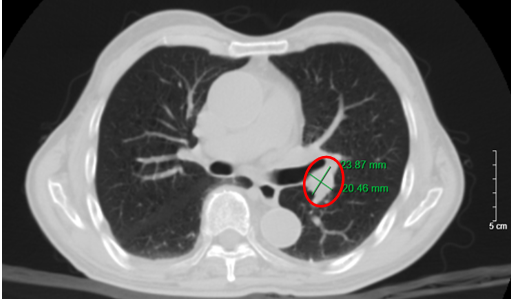
Hình 1. Hình ảnh nhu mô thùy trên phổi có nốt bờ không đều, tua gai, đường kính 26×17 mm (vòng tròn đỏ) trên phim chụp cắt lớp vi tính (cửa sổ trung thất).

Hình 2. Hình ảnh khối u bờ tua gai, đường kính 26×17 mm (vòng tròn đỏ), kèm hình ảnh dày tổ chức kẽ kèm các dải xẹp phổi nhu mô phổi trái. Giãn phế nang trung tâm lan tỏa rải rác nhu mô phổi, trên phim chụp cắt lớp vi tính (cửa sổ nhu mô).
Chụp cắt lớp vi tính ổ bụng

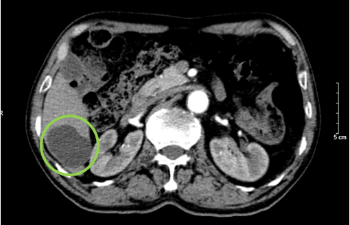
Hình 3. Hình ảnh nang gan kích thước 49x35mm (vòng tròn xanh lục) tại nhu mô gan phải hạ phân thùy VI trên phim chụp cắt lớp vi tính ổ bụng có thuốc cản quang thì động mạch.

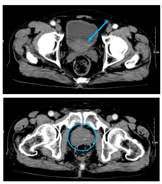
Hình 4. Tuyến tiền liệt tăng kích thước (hình tròn màu xanh), có phần lồi vào bàng quang (mũi tên xanh) trên phim chụp cắt lớp vi tính ổ bụng thì động mạch.
- Nội soi phế quản: Thâm nhiễm sần niêm mạc và cựa phế quản phân thùy đỉnh trái.
- Giải phẫu bệnh và hóa mô miễn dịch:
- Nhận xét vi thể: Xét nghiệm và chẩn đoán mô bệnh học bằng 2 phương pháp HE và PAS: Các mảnh sinh thiêt lây vào mô phế quản, phế nang và mô u. Tế bào u nhân lớn, bào tương hẹp, chất nhiêm sắc mịn, hình tròn gợi hình ảnh tế bào nhỏ.
- Kết quả nhuộm hóa mô miễn dịch: Mô u dương tính với TTF1, Chromo, Synap, dương tính yếu với CD56
- Chẩn đoán mô bệnh học: Hình ảnh mô bệnh học và hoa mô miễn dịch phù hợp với ung thư biểu mô tế bào nhỏ của phổi
- Các xét nghiệm sinh học phân tử:
- EGFR mẫu mô: âm tính
- ALK mẫu mô: âm tính
- Các xét nghiệm tham dò chức năng:
- Đo chức năng hô hấp: Chức năng hô hấp trong giới hạn bình thường.
- Điện tâm đồ: Nhịp xoang, tần số 64 lần/phút. Trục trái.
Chẩn đoán xác định: Ung thư biểu mô tế bào nhỏ thùy trên phổi trái, EGFR âm tính, ALK âm tính, giai đoạn khu trú (T1cN0M0)/ Phì đại lành tính tuyến tiền liệt
Điều trị: Đây là trường hợp bệnh nhân ung thư phổi tế bào nhỏ, giai đoạn bệnh còn khu trú, chưa di căn hạch, chưa di căn xa đến các cơ quan, bộ phận khác trong cơ thể. Tuy nhiên, với thể mô bệnh học là: Ung thư phổi tế bào nhỏ, một thể bệnh với mức độ ác tính rất cao, tiến triển nhanh, trên nền bệnh nhân tuổi cao (85 tuổi), thể trạng PS: 1, có gánh nặng khối u lớn. Bệnh nhân được hội chẩn hội đồng chuyên môn và được quyết định điều trị liệu pháp toàn thân. Bệnh nhân, được chỉ định điều trị bằng liệu pháp miễn dịch với phác đồ: Atezolizumab – Etoposide – Carbopaltin với chu kỳ 21 ngày theo “Hướng dẫn chẩn đoán và điều trị một số bệnh ung bướu” của Bộ Y tế năm 2020.
Theo dõi trong quá trình điều trị:
- Lâm sàng:
- Bệnh nhân tỉnh, tiếp xúc tốt
- PS 1 (không triệu chứng, tự sinh hoạt bình thường)
- Giảm hoàn toàn các triệu chứng: không còn đau ngực, còn ho ít, không đau đầu, không yếu liệt, bắt đầu ăn uống tốt trở lại. Tăng cân trở về cân nặng ban đầu (53kg) sau 3 tháng điều trị đầu tiên. Đại tiểu tiện bình thường
- Thời gian đầu truyền hóa chất, bệnh nhân gặp một số tác dụng phụ như buồn nôn, ngứa da nhưng ở mức độ nhẹ, tác dụng phụ hết sau 1 tuần từ lần truyền đầu tiên.
- Sau khi truyền Atezolizumab phối hợp hóa chất Etoposide – Carboplatin x 4 chu kỳ, bệnh nhân gặp tác dụng không mong muốn của hóa chất hạ bạch cầu độ 3.
- Công thức bạch cầu: (9/5/2024)
- WBC: 3.6 G/l (bình thường: 4-10 G/l) – giảm số lượng bạch cầu
- NEU%: 22.7% (bình thường: 45% – 75%) – giảm tỷ lệ bạch cầu trung tính
- NEU: 0.8 G/l (bình thường: 1,8 – 7,5 G/l) – hạ bạch cầu trung tính độ 3 (0,5 – 1 G/l)
- Sau khi hội chẩn, bệnh nhân được điều trị theo kế hoạch mới tiếp tục duy trì liệu pháp miễn dịch với Atezolizumab nhưng không sử dụng hóa chất phối hợp.
- Bệnh nhân tiếp tục truyền Atezolizumab x 3 chu kỳ tiếp theo, diễn biến lâm sàng ổn định, không còn các triệu chứng trước điều trị, không xuất hiện thêm các triệu chứng, biến chứng mới.
- Sau khi truyền hết 7 chu kỳ điều trị miễn dịch với Atezolizumab, bệnh nhân và người nhà thống nhất xin ngừng điều trị miễn dịch vì lý do cá nhân. Bệnh nhân xin chuyển về chăm sóc giảm nhẹ tại nhà và y tế cơ sở (tháng 7/2024).
- Tháng 10/2024, sau 3 tháng từ đợt điều trị miễn dịch cuối, bệnh nhân quay trở lại với triệu chứng ho nhiều, đau ngực âm ỉ liên tục cả ngày, kèm đau đầu, liệt nửa người bên bên trái cơ lực 3/5, bên phải cơ lực bình thường, kèm gầy sút cân. Hạn chế sinh hoạt được, PS 3 (thời gian nằm trên giường chiếm trên 50% thời gian thức).
- Công thức bạch cầu: (9/5/2024)
Bệnh nhân được chụp Cộng hưởng từ sọ não phát hiện ổ di căn trên thùy trán phải cạnh sừng trán não thất bên. Bệnh nhân và gia đình có nguyện vọng không tiếp tục điều trị và chuyển sang chăm sóc giảm nhẹ.
- Thay đổi các chất chỉ điểm khối u ung thư
Bảng 1. Nồng độ dấu ấn ung thư trong quá trình điều trị (từ tháng 1 đến 10/2024)
| Thời gian | 3/1 | 1/4 | 9/5 | 30/5 | 20/6 | Xin ngừng điều trị | 3/10 |
| CEA (ng/ml) | 10.88 | 3.23 | 2.58 | 3.4 | 5.08 | 20.79 | |
| Cyfra 21-1(ng/ml) | 2.08 | 1.01 | 1.51 | 1.43 | 1.06 | 1.35 |
Nhận xét: Các chất chỉ điểm khối u trên có xu hướng giảm dần theo thời gian sau điều trị bằng liệu pháp miễn dịch, hóa chất hoặc đơn trị bằng liệu pháp miễn dịch, sau đó tăng cao trở lại với tốc độ rất nhanh kể từ thời điểm ngừng điều trị liệu pháp miễn dịch.

Hình 5: Biến động nồng độ CEA trong quá trình điều trị (từ tháng 1 đến 10/2024)
Biến đổi trên chẩn đoán hình ảnh (đang điều trị và sau khi bỏ điều trị)

Hình 6. Hình ảnh khối u phổi trái với kích thước 21×16 mm (đang điều trị, mũi tên xanh), tăng kích thước lên 60×42 mm (sau khi bỏ điều trị 3 tháng, mũi tên đỏ) trên phim chụp cắt lớp vi tính lồng ngực, cửa sổ trung thất.

Hình 7. Hình ảnh khối u phổi trái với kích thước 21×16 mm (đang điều trị, mũi tên xanh), tăng kích thước lên 60×42 mm (sau khi bỏ điều trị 3 tháng, mũi tên đỏ) trên phim chụp cắt lớp vi tính lồng ngực, cửa sổ nhu mô.

Hình 8. Hình ảnh não không có khối choán chỗ trong thời gian điều trị (mũi tên xanh) và não xuất hiện khối u di căn não thùy trán phải cạnh sừng trán não thất bên, kích thước 14×22 mm sau khi bỏ điều trị 3 tháng (mũi tên đỏ), trên phim cộng hưởng từ sọ não tại mặt phẳng axial.
Lời bàn:
Như vậy, đây là một trường hợp bệnh nhân ung thư phổi tế bào nhỏ được chẩn đoán ở giai đoạn khu trú. Đây là một thể bệnh với tiến triển rất nhanh, nhưng đáp ứng tốt với điều trị phối hợp bằng liệu pháp miễn dịch và hóa chất. Bệnh nhân được điều trị bằng Atezolizumab phối hợp với hóa chất Etoposide – Carboplatin trong 4 chu kỳ đầu và chuyển sang Atezolizumab đơn trị do tác dụng phụ hạ bạch cầu của hóa chất, tiếp tục thêm 3 chu kỳ. Đáp ứng của bệnh nhân khá tốt khi giảm đáng kể các triệu chứng lâm sàng và nồng độ các dấu ấn ung thư giảm rõ rệt, tuy chưa ghi nhận được thông tin về kích thước khối u trên các phương tiện chẩn đoán hình sau 7 đợt điều trị bằng liệu pháp miễn dịch. Điều này thể hiện được vai trò quan trọng của điều trị miễn dịch đối với ung thư phổi thể tế bào nhỏ.
Sau khi bệnh nhân xin ngừng điều trị, bệnh tiếp túc tiến triển trở lại với tốc độ lan tràn rất nhanh. Sau 3 tháng ngừng điều trị, bệnh tiến triển, di căn não kích thước, ảnh hưởng lớn tới sức khỏe, sinh hoạt và chất lượng cuộc sống tổng thể của bệnh nhân. Điều này nhấn mạnh hơn nữa sự tiến triển lan rộng rất nhanh của ung thư phổi tế bào nhỏ, cũng như đặt ra nhiều thách thức cho các nhà lâm sàng về kiểm soát, quản lý và điều trị trong trường hợp di căn não ở bệnh nhân ung thư tế bào nhỏ.
