Ca lâm sàng
Bệnh nhân mắc hai ung thư nguyên phát: Ung thư phổi không tế bào nhỏ và Ung thư trực tràng
GS.TS. Mai Trọng Khoa, PGS.TS.Phạm Cẩm Phương, BSCKII. Lê Viết Nam, BSNT. Nguyễn Bảo Linh
Trung tâm Y học hạt nhân và Ung bướu, Bệnh viện Bạch Mai
Mở đầu:
Đa ung thư nguyên phát được định nghĩa là sự xuất hiện nhiều khối u ác tính nguyên phát, khác nhau về mô bệnh học, trên cùng một bệnh nhân. Nhờ sự phát triển của các kỹ thuật chẩn đoán hình ảnh và giải phẫu bệnh, số lượng ca ung thư được phát hiện ngày càng nhiều, kéo theo số báo cáo về bệnh nhân mắc đa ung thư cũng gia tăng, phần lớn các trường hợp bao gồm hai loại ung thư phối hợp [1].
Khái niệm Đa ung thư nguyên phát được Moertel đề xuất từ năm 1977, phân loại thành ba nhóm: (I) ung thư cùng loại mô học; (II) ung thư từ các loại mô khác nhau; và (III) ung thư xuất phát từ cả mô và cơ quan khác nhau. Ngày nay, cách phân loại thường được áp dụng theo yếu tố thời gian: đồng thời (synchronous) nếu phát hiện trong vòng 6 tháng kể từ chẩn đoán ung thư đầu tiên, và không đồng thời (metachronous) nếu phát hiện sau 6 tháng (một số tác giả lấy mốc 12 tháng). Tuy nhiên, việc chẩn đoán chính xác và đưa ra chiến lược điều trị tối ưu cho những trường hợp này vẫn là một thách thức lâm sàng.
Tỷ lệ mắc đa ung thư nguyên phát ở phổi và đại trực tràng cực kỳ hiếm, chỉ khoảng 0,6% [2]. Do tính chất hiếm gặp, hầu hết các bác sĩ thường xem tổn thương phổi ở bệnh nhân có tiền sử ung thư đại trực tràng là di căn phổi, vì thực tế di căn này thường gặp ở khoảng 10%–20% bệnh nhân ung thư đại trực tràng.
Trong báo cáo này, chúng tôi trình bày một trường hợp ung thư trực tràng nguyên phát bị mắc đồng thời với ung thư phổi không tế bào nhỏ, được phát hiện tình cờ trong quá trình đánh giá giai đoạn bệnh.
Hành chính
- Họ và tên bệnh nhân: Trần T. P.
- Tuổi: 70
- Giới tính: Nam
- Quê quán: Phổ Yên, Thái Nguyên
- Lý do vào viện: Đại tiện nhiều lần, phân nhỏ lẫn máu
- Tiền sử: Khỏe mạnh
- Bệnh sử
Tháng 5/2025, bệnh nhân xuất hiện rối loạn đại tiện với triệu chứng: đi ngoài nhiều lần trong ngày, phân nhỏ dẹt, không thành khuôn, đôi khi lẫn máu tươi. Nội soi đại trực tràng ghi nhận: cách rìa hậu môn khoảng 1 cm có khối sùi loét chiếm 4/5 chu vi trực tràng (sinh thiết mảnh 1); cách rìa hậu môn 10 cm có khối sùi loét chiếm 3/4 chu vi (sinh thiết mảnh 2). Giải phẫu bệnh cả hai mẫu sinh thiết đều cho kết quả: Ung thư biểu mô tuyến biệt hóa vừa. Bệnh nhân được nhập viện vào Trung tâm Y học hạt nhân và Ung bướu – Bệnh viện Bạch Mai để đánh giá và điều trị tiếp.
Trong quá trình đánh giá giai đoạn, bệnh nhân chụp cắt lớp vi tính ngực phát hiện tại nhu mô đỉnh phổi trái có khối u kích thước khoảng 35 × 25 mm, bờ tua gai, ngấm thuốc mạnh không đồng nhất sau tiêm. Sinh thiết xuyên thành ngực tổn thương này cho kết quả: ung thư biểu mô tuyến. Để xác định nguồn gốc các khối u, phương pháp nhuộm hóa mô miễn dịch (HMMD) được tiến hành: Khối u phổi: tế bào u dương tính với CK7, CK19, Napsin A, TTF-1; âm tính với CK20, CDX2, điều này phù hợp với ung thư biểu mô tuyến phổi nguyên phát. Khối u trực tràng: tế bào u dương tính với CK20, CDX2, SATB2; âm tính với CK7, TTF-1, Napsin A, tức là phù hợp với ung thư biểu mô tuyến trực tràng nguyên phát, biệt hóa vừa.
Như vậy, chẩn đoán cuối cùng là bệnh nhân mắc đồng thời hai ung thư nguyên phát: Ung thư biểu mô tuyến phổi và Ung thư biểu mô tuyến trực tràng.
Khám lúc vào viện
- Bệnh nhân tỉnh, không sốt
- Da niêm hồng, huyết động ổn định
- Không sờ thấy hạch ngoại vi
- Tim đều, T1-T2 rõ, tần số 85 lần/phút không tiếng thổi bệnh lý.
- Phổi thông khí đều 2 bên, không ran.
- Bụng mềm, không điểm đau khu trú
- Thăm trực tràng: Cách rìa hậu môn 1 cm, vị trí hướng 9 giờ, phát hiện khối loét – sùi, mật độ chắc, cố định, chiếm gần toàn bộ chu vi trực tràng, có ít máu dính găng.
- Các cơ quan khác chưa phát hiện bất thường
Tiền sử:
- Bệnh lý: Khỏe mạnh, không mắc tăng huyết áp, đái tháo đường, không mắc bệnh lý mạn tính khác
- Thói quen, sinh hoạt
- Hút thuốc lá 20 bao/năm trong vòng 30 năm, đã bỏ 10 năm nay
- Uống rượu khoảng 50ml/ngày
- Môi trường
- Nghề nghiệp: nông nghiệp, tiếp xúc thuốc trừ sâu
- Dị ứng: chưa phát hiện bất thường
- Gia đình: Chưa phát hiện gia đình có người thân mắc ung thư
Cận lâm sàng
- Xét nghiệm tế bào máu ngoại vi: WBC: 11.3 G/L, NEUT: 56 G/L, RBC: 5.15 T/L, HGB: 147 g/l, HCT: 0.418 L/L, PLT: 325 G/L (các chỉ số trong giới hạn bình thường)
- Xét nghiệm sinh hóa máu: Glucose: 6.2 mmol/l, Creatinine: 77 mmol, ALT: 32 U/mL, AST: 35 U/L, Cholesterol máu: 3.9 mmol/L, Bilirubin toàn phần 4.3 U/L, Bilirubin trực tiếp 1.3 U/L, LDH 126 mmol/l (các chỉ số trong giới hạn bình thường)
- Xét nghiệm đông máu: PT(s): 12.2s; PT(%): 88%; INR: 1.11 (trong giới hạn bình thường)
- Xét nghiệm vi sinh: HbsAg: âm tính, HCV Ab: âm tính, HIV Ag/Ab: âm tính
- Chỉ điểm u: CEA: 22.32 ng/ml [<5 ng/ml] , CA 19-9: 34.1 U/ml [<27 U/ml], Cyfra 21-1: 4.6 ng/ml [<2,37 ng/ml]
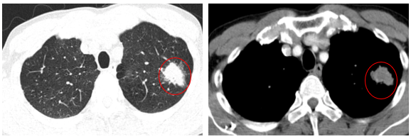
- Chụp cắt lớp vi tính lồng ngực (06/2025): Nhu mô đỉnh phổi trái có khối tổ chức kích thước ~35x25mm, bờ không đều, có cắt cụt một số nhánh phân thùy đỉnh, ngấm thuốc mạnh không đồng nhất sau tiêm. Thuỳ trên và dưới có nốt đặc nhỏ đường kính 2mm.

Hình 1:Nhu mô đỉnh phổi trái có khối tổ chức kích thước ~35x25mm,
bờ không đều, có cắt cụt một số nhánh phân thùy đỉnh, ngấm thuốc mạnh không đồng nhất sau tiêm
- Giải phẫu bệnh + Hóa mô miễn dịch u phổi: Tế bào u dương tính với CK7, CK19, Napsin A, TTF-1; âm tính với CK20, CDX2 → phù hợp với ung thư biểu mô tuyến phổi nguyên phát
- Xét nghiệm đột biến gen u phổi: Không phát hiện đột biến gen EGFR.
- Giải trình tự gen u phổi: Hiện tại không phát hiện biến thể trên các gen khảo sát.
- Cộng hưởng từ vùng tiểu khung (06/2025): Hình ảnh u trực tràng thấp, trực tràng cao T3N2Mx, MRF, EMVI (+)
+ Đoạn trực tràng thấp cách rìa hậu môn 24mm có tổn thương sùi loét vào lòng chiếm >3/4 chu vi, trên đoạn dài 47mm, sau tiêm ngấm thuốc mạnh, xâm lấn mạc quanh trực tràng, xâm lấn mạch máu, lân cận có vài hạch (>4 hạch) đường kính trục ngắn <5mm, ngấm thuốc sau tiêm
+ Đoạn cao cách rìa hậu môn khoảng 13cm, dày thành trên đoạn dài khoảng 44mm, chỗ dày nhất 11mm, thành ngấm thuốc mạnh, hạn chế khuếch tán, xâm lấn mạc quanh trực tràng, xâm lấn mạch máu, lân cận có vài hạch lớn nhất kích thước 9x9mm, ngấm thuốc sau tiêm

Hình 2: Đoạn trực tràng thấp cách rìa hậu môn 24mm có tổn thương sùi loét vào lòng chiếm >3/4 chu vi. Đoạn cao cách rìa hậu môn khoảng 13cm, dày thành trên đoạn dài khoảng 44mm, chỗ dày nhất 11mm
- Nội soi đại trực tràng (06/2025): Trực tràng: Cách rìa hậu môn ~ 1 cm có khối sùi loét chiếm 4/5 chu vi trực tràng. Cách rìa hậu môn ~ 10 cm có sùi loét chiếm 3/4 chu vi trực tràng. Niêm mạc trực tràng còn lại có vài polyp kích thước ~ 0.2 – 0.5 cm

Hình 3: Tổn thương tại 2 vị trí trực tràng: Cách rìa hậu môn ~ 1 cm có khối sùi loét chiếm 4/5 chu vi trực tràng. Cách rìa hậu môn ~ 10 cm có sùi loét chiếm 3/ 4 chu vi trực tràng.
- Giải phẫu bệnh + Hóa mô miễn dịch u trực tràng (06/2025): tế bào u dương tính với CK20, CDX2, SATB2; âm tính với CK7, TTF-1, Napsin A → phù hợp với ung thư biểu mô tuyến trực tràng nguyên phát, biệt hóa vừa.
- Cộng hưởng từ sọ não (06/2025): Hình ảnh vài nốt thoái hóa myelin chất trắng trên lều. Teo não theo tuổi. Chưa phát hiện tổn thương nghi ngờ thứ phát.
- Hình ảnh chụp PET/CT đánh giá giai đoạn trước điều trị (06/2025)
- U thùy trên phổi trái KT 32x30mm, maxSUV=18.7.
- Dày thành không đều thành trực tràng đoạn 1/3 giữa-dưới maxSUV=13,6. Hạch cạnh trực tràng và hạch trước xương cùng.
- Xét nghiệm đột biến gen u trực tràng: Phát hiện đột biến trên codon 12/13 tại exon 2 gen KRAS. Không phát hiện đột biến trên codon 600 tại exon 15 gen BRAF.
- Chẩn đoán: Ung thư biểu mô tuyến trực tràng thấp-trung bình cT3N2M0, KRAS(+), BRAF(-) – Ung thư biểu mô tuyến phổi trái cT2N0M0, EGFR(-)
- Điều trị:
Bệnh nhân nam, 70 tuổi, được chẩn đoán đồng thời hai ung thư nguyên phát. Việc lựa chọn chiến lược điều trị cần dựa trên tiên lượng và tốc độ tiến triển của từng loại ung thư, đồng thời cân nhắc nguy cơ độc tính tích lũy khi phối hợp. Đối với ung thư trực tràng, bệnh ở giai đoạn tiến xa tại chỗ (cT3N2M0), khối u chiếm khoảng 4/5 chu vi lòng trực tràng, kèm nguy cơ cao dẫn đến tắc ruột – một tình huống lâm sàng cấp cứu. Do đó, ưu tiên điều trị ban đầu tập trung vào khối u trực tràng. Khối u phổi giai đoạn cT2N0M0 có khả năng cắt triệt căn, tuy nhiên có thể trì hoãn xử trí cho đến khi kiểm soát được khối u trực tràng.
Sau hội chẩn đa chuyên khoa, chúng tôi thống nhất tiến hành hóa trị tân bổ trợ cho ung thư trực tràng với phác đồ XELOX, nhằm mục tiêu kiểm soát đồng thời bệnh tại chỗ và toàn thân, sau đó xem xét hóa xạ đồng thời và phẫu thuật nếu đạt đáp ứng tốt. Phác đồ XELOX (chu kỳ 3 tuần):
- Oxaliplatin 130 mg/m² IV ngày 1
- Capecitabine 1000 mg/m² uống 2 lần/ngày, ngày 1–14
- Đánh giá sau 3 chu kì điều trị
Sau 3 chu kì điều trị hóa chất phác đồ XELOX
- Các triệu chứng lâm sàng được cải thiện: Bệnh nhân ổn định, không đau bụng, đại tiện ngày 2 lần, phân vàng thành khuôn không lẫn máu, không ho, không đau tức ngực, không gầy sút cân, không tê bì tay chân, bệnh nhân ăn uống được, ngủ được.
- Xét nghiệm máu:
| 6/2025 | 9/2025 | |
| Huyết sắc tố hemoglobin | 147 | 124 |
| Bạch cầu | 11.3 | 10.2 |
| Tiểu cầu | 325 | 341 |
| Men gan AST/ALT | 35/32 | 26/20 |
| Chức năng thận Creatinin | 77 | 90 |
| Chỉ điểm u CEA | 22.32 | 6.07 |
| Chỉ điểm u CA 19-9 | 34.1 | 29.6 |
| Chỉ điểm u Cyfra 21-1 | 4.6 | 6.07 |
Nhận xét: Xét nghiệm chi điểm u giảm mạnh CEA (22.32 giảm còn 6.07), CA 19-9 (34.1 giảm còn 29.6), xét nghiệm chức năng gan, thận trong giới hạn bình thường, không thiếu máu, không có độc tính đáng kể của thuốc.
– Cộng hưởng từ vùng tiểu khung (09/2025): Hình ảnh dày không đều thành trực tràng đoạn cách lỗ hậu môn khoảng 3cm, dày lệch phải, dày nhất 11mm, dài khoảng 3mm, không rõ cấu trúc lớp, lớp thanh mạc còn đều, không thâm nhiễm xung quanh.

Hình 4: Bên trái (trước điều trị): khối u thành trực tràng dày, chiếm gần toàn bộ chu vi, lòng trực tràng hẹp rõ, tín hiệu xâm lấn ra ngoài lớp cơ. Bên phải (sau điều trị): khối u kích thước giảm, lòng trực tràng rộng hơn, tín hiệu khối u giảm, ranh giới với lớp mỡ quanh trực tràng rõ hơn -> khối u đáp ứng một phần
– Nội soi đại trực tràng (09/2025): Đại tràng sigma có 04 polyp kích thước ~ 0.5-1.5cm, polyp lớn nhất có cuống. Đoạn cuối đại tràng sigma có khối loét sùi chiếm 1/2 chu vi (Sinh thiết 03 mảnh- Ống 2) Trực tràng: Cách rìa hậu môn ~7.0cm có loét sùi lớn chiếm 3/4 lòng trực tràng ( Sinh thiết 03 mảnh – Ống 1).

Hình 5: Bên trái (trước điều trị): Khối u trực tràng dạng sùi, kích thước lớn, chiếm gần hết chu vi lòng trực tràng. Bề mặt khối u gồ ghề, loét, dễ chảy máu. Bên phải (sau điều trị): tổn thương sùi giảm kích thước rõ rệt, bề mặt u phẳng hơn, xơ hóa và loét nông, phủ giả mạc trắng, lòng trực tràng mở rộng hơn -> khối u đáp ứng một phần
Nhận xét:
Sau 3 tháng điều trị hóa chất tân bổ trợ, bệnh nhân được đánh giá lại:
- Lâm sàng: triệu chứng rối loạn đại tiện cải thiện rõ rệt, không còn tình trạng đi ngoài nhiều lần.
- Nội soi đại trực tràng: so với trước điều trị, khối u thu nhỏ kích thước đáng kể, từ tổn thương sùi loét chiếm gần toàn bộ chu vi trực tràng, sau điều trị lòng trực tràng được mở rộng, ít còn dấu hiệu tắc nghẽn -> phù hợp đáp ứng một phần.
- Cộng hưởng từ tiểu khung: kích thước khối u giảm, mức độ xâm lấn mạc treo trực tràng và khoảng quanh trực tràng thu hẹp, tín hiệu u giảm, xuất hiện nhiều dải xơ hóa
- Chỉ điểm u giảm: CEA: 22.32 ng/ml -> 6.07 ng/ml; CA 19-9: 1 U/ml -> 29.6 U/ml
-> Bệnh nhân đạt đáp ứng một phần (PR) trên cả hình ảnh học và nội soi, u trực tràng thu nhỏ rõ rệt,
– Chụp cắt lớp vi tính lồng ngực (09/2025): Nhu mô thùy trên phổi trái có khối tổ chức kích thước ~39x23mm, bờ không đều, có cắt cụt một số nhánh phân thùy đỉnh, ngấm thuốc mạnh không đồng nhất sau tiêm (tăng nhẹ kích thước so với phim chụp CLVT cũ 06/2025).

Hình 6: Nhu mô thùy trên phổi trái có khối tổ chức kích thước ~39x23mm, bờ không đều
Nhận xét: Khối u phổi trên phim cắt lớp vi tính ngực (09/2025): : ~39 × 23 mm → tăng nhẹ về kích thước so với trước (35 × 25 mm), chỉ điểm u: Cyfra 21-1 tăng từ 4,6 ng/ml lên 6,07 ng/ml → gợi ý bệnh ổn định Stable Disease (SD), khối u vẫn ở giai đoạn cT2N0M0. Bệnh nhân đã được hội chẩn đa chuyên khoa, có chỉ định phẫu thuật cắt thùy phổi và nạo vét hạch.
Lời kết:
Ca lâm sàng trên lưu ý chúng ta là cần lưu ý phải phân biệt liệu tổn thương ở phổi là ung thư nguyên phát hay di căn từ trực tràng, và ngược lại, tổn thương trực tràng có thể là di căn hiếm gặp của ung thư phổi. Mỗi khả năng kéo theo chiến lược điều trị hoàn toàn khác nhau. Hơn nữa, ngay cả khi đã xác định được hai ung thư nguyên phát đồng thời, việc quyết định ưu tiên điều trị ung thư nào trước, hay tiến hành điều trị đồng thời vẫn là thách thức lớn đối với bác sĩ lâm sàng. Quyết định điều trị cần được cá thể hóa, dựa trên tình trạng toàn thân, gánh nặng u, đột biến phân tử và khả năng dung nạp điều trị của từng bệnh nhân…
Đối với bệnh nhân nam 70 tuổi này: mắc đồng thời hai ung thư nguyên phát: ung thư biểu mô tuyến trực tràng cT3N2M0, KRAS(+), BRAF(-) và ung thư biểu mô tuyến phổi trái cT2N0M0, EGFR(-). Chiến lược điều trị được cá thể hóa, ưu tiên kiểm soát khối u trực tràng do nguy cơ tắc ruột cao. Sau 3 chu kỳ hóa chất tân bổ trợ phác đồ XELOX, bệnh nhân đạt đáp ứng một phần rõ rệt trên lâm sàng và hình ảnh học: khối u trực tràng thu nhỏ đáng kể, chỉ điểm u CEA giảm rõ, hết rối loạn đại tiện. Mặc dù khối u phổi ít đáp ứng với hóa chất phác đồ XELOX, song vẫn còn ổn định, ở giai đoạn khu trú (cT2N0M0), chưa xuất hiện di căn xa, thể trạng bệnh nhân duy trì tốt. Sau khi kiểm soát tốt khối u trực tràng, bệnh nhân đủ điều kiện xem xét phẫu thuật triệt căn thùy phổi trái nhằm điều trị triệt để cả hai ung thư nguyên phát. Ca lâm sàng nhấn mạnh tầm quan trọng của chiến lược điều trị cá thể hóa và dựa trên sự phối hợp chặt chẽ giữa các chuyên khoa nhằm tối ưu hóa hiệu quả điều trị và cải thiện tiên lượng sống còn cho bệnh nhân.
