Ca lâm sàng: Điều trị bệnh nhân ung thư phổi không tế bào nhỏ giai đoạn di căn không có đột biến gen tại Trung tâm Y học hạt nhân và Ung bướu, Bệnh viện Bạch Mai
GS. TS. Mai Trọng Khoa, PGS.TS.Phạm Cẩm Phương, BS CKII Lê Viết Nam, BSNT. Đào Thị Trinh
Trung tâm Y học hạt nhân và Ung bướu, Bệnh viện Bạch Mai
Theo GLOBOCAN 2022, ung thư phổi tiếp tục là gánh nặng y tế toàn cầu với 2,48 triệu ca mắc mới, chiếm 12,4% tổng số ca ung thư và 1,8 triệu ca tử vong, chiếm 18,7% tổng số ca tử vong do ung thư. Tại Việt Nam, ung thư phổi đứng trong nhóm ba loại ung thư phổ biến nhất với hơn 24.000 ca mắc và gần 23.000 ca tử vong mỗi năm. Trong đó, ung thư phổi không tế bào nhỏ (NSCLC) chiếm khoảng 80% và phần lớn bệnh nhân được chẩn đoán ở giai đoạn tiến xa hoặc di căn, khi không còn khả năng phẫu thuật triệt căn. Ở nhóm bệnh nhân không mang đột biến gen nhắm trúng đích như EGFR hoặc ALK, hóa trị từng là lựa chọn điều trị chuẩn trong nhiều thập kỷ, song hiệu quả còn hạn chế, tỷ lệ đáp ứng thấp, thời gian sống thêm ngắn và độc tính cao, làm suy giảm chất lượng sống. Sự ra đời của liệu pháp miễn dịch, đặc biệt là các thuốc ức chế PD-1/PD-L1, đã làm thay đổi toàn bộ bức tranh điều trị. Nhiều nghiên cứu quy mô lớn trên thế giới, tiêu biểu như KEYNOTE-024, KEYNOTE-042, KEYNOTE-189 hay IMpower150, đều khẳng định rằng miễn dịch đơn trị hoặc kết hợp hóa trị giúp cải thiện rõ rệt hiệu quả điều trị so với hóa trị đơn thuần. Các kết quả này đã làm thay đổi hoàn toàn chuẩn mực điều trị bước một, được NCCN và ESMO khuyến cáo áp dụng rộng rãi, mang lại hy vọng cải thiện tiên lượng cho nhóm bệnh nhân vốn được coi là “khó điều trị” với hiệu quả nghèo nàn của hóa trị đơn thuần.
Các thuốc ức chế điểm kiểm soát miễn dịch (PD-1/PD-L1) phát huy tác dụng bằng cách ngăn chặn tương tác giữa PD-1 trên tế bào T và PD-L1 trên tế bào u, từ đó khôi phục hoạt tính miễn dịch chống ung thư. Khi phối hợp với hóa trị, hiệu quả được tăng cường nhờ vừa tiêu diệt trực tiếp tế bào ung thư, vừa thúc đẩy quá trình nhận diện kháng nguyên, tạo đáp ứng hiệp đồng và kéo dài thời gian kiểm soát bệnh. So với hóa trị đơn thuần, miễn dịch mang lại lợi ích sống còn bền vững hơn, với độc tính nhìn chung nhẹ hơn. Tác dụng bất lợi chủ yếu là các biến cố liên quan miễn dịch (như viêm phổi kẽ, viêm đại tràng, viêm tuyến giáp), thường hiếm gặp và có thể kiểm soát được khi xử trí sớm.
Dưới đây là một trường hợp bệnh nhân ung thư phổi giai đoạn di căn đáp ứng tốt với điều trị bằng phương pháp miễn dịch kết hợp hóa trị.
Họ tên: Phí Tiến .B. Nam, 63 tuổi
Ngày vào viện: 09/06/2025
Lí do vào viện: Đau ngực, ho máu
Tiền sử: Hút thuốc lào 30 năm đã bỏ 4 năm nay
Bệnh sử: : Khoảng 2 tháng trước vào viện bệnh nhân ho đờm lẫn dây máu đỏ sẫm, kèm theo tức ngực, khó thở nhẹ, gầy sút 3kg/2 tháng. Bệnh nhân đi khám được siêu âm phát hiện hạch thượng đòn phải. Chọc tế bào hạch thượng đòn xét nghiệm tế bào học có kết quả: Ung thư biểu mô di căn. Bệnh nhân được nhập viện vào Trung tâm Y học hạt nhân và Ung bướu – Bệnh viện Bạch Mai.
Khám lúc vào viện:
- Bệnh nhân tỉnh, tiếp xúc tốt
- Không sốt
- Mạch: 80 lần/phút, Huyết áp: 120/70mmHg
- Thể trạng trung bình, PS: 1, chiều cao: 160 cm, cân nặng: 50kg
- Da niêm mạc hồng, không phù, không xuất huyết dưới da
- Hạch thượng đòn phải kích thước khoảng 1×1,5 cm, ấn chắc, di động hạn chế, không đau
- Đau tức ngực nhẹ khi ho
- Lồng ngực hai bên cân đối, không có u cục thành ngực
- Phổi rì rào phế nang giảm bên trái, không có rales
- Các cơ quan khác không thấy bất thường
Các kết quả cận lâm sàng:
- Xét nghiệm: công thức máu, chức năng gan thận, điện giải đồ trong giới hạn bình thường; HIV (-), HbsAg (-).
- Xét nghiệm đờm: Nuôi cấy vi khuẩn : âm tính; AFB âm tính, PCR lao âm tính
- Xét nghiệm chất chỉ điểm u : CEA: 6.17 ng/ml (bình thường: < 5.0 ng/ml); Cyfra 21-1: 5.09 ng/ml (bình thường: < 2.37 ng/ml).
- Nội soi dạ dày, đại tràng chưa phát hiện bất thường.
Chụp cắt lớp vi tính lồng ngực: Phổi trái nhu mô thùy dưới S6 có khối tổ chức kích thước 56x50mm, bờ không đều, có cắt cụt nhánh phế quản lân cận, khối tiếp giáp sát màng phổi trung thất. Phổi phải thùy trên có vài nốt đặc nhỏ nằm sát màng phổi đường kính lớn nhất 4mm. Trước carina, cạnh khí quản có hạch lớn nhất kích thước 16x12mm.

Hình 1: Hình ảnh chụp cắt lớp vi tính lồng ngực: hình ảnh khối u kích thước lớn thùy dưới phổi trái và các nốt đặc di căn phổi đối bên
Chụp cắt lớp vi tính ổ bụng: Không thấy bất thường
Chụp cộng hưởng từ sọ não: Thoái hóa myelin chất trắng trên lều (Fazekas 1). Teo não theo tuổi
![]() |
Hình 2: Hình ảnh chụp cắt lớp vi tính ổ bụng và MRI sọ não: Chưa phát hiện tổn thương thứ phát
PET/CT: Khối mờ vùng rốn phổi trái kích thước 62x52x89 mm, thâm nhiễm bạch mạch, màng phổi, rãnh liên thùy, tăng chuyển hóa FDG SUVmax: 10,04. Nhiều hạch trung thất ở 2R, 4R, 5,6,7 hạch lớn nhất có đường kính 10mm tăng chuyển hóa FDG SUVmax: 11,49

Hình 3: Hình ảnh PET/CT: hình ảnh khối u phổi tăng chuyển hóa FDG SUVmax: 10,4 và hạch trung thất tăng chuyển hóa FDG SUVmax: 11,49, điển hình của tổn thương ác tính.
– Bệnh nhân đã được sinh thiết u phổi dưới hướng dẫn cắt lớp vi tính
– Làm xét nghiệm mô bệnh học kết quả là ung thư biểu mô tuyến.
– Xét nghiệm gen EGFR: Âm tính
Chẩn đoán xác định:
- Ung thư thùy dưới phổi trái T4N3M1 di căn phổi phải
- Giải phẫu bệnh: Ung thư biểu mô tuyến, EGFR âm tính
Điều trị:
- Hóa chất+ miễn dịch: Pembrolizumab 200mg ngày 1
Pemetrexed 500mg/m2 ngày 1
Carbboplatin 5 AUC ngày 1
Chu kì 21 ngày
- Trước khi điều trị hóa chất bệnh nhân được sử dụng: Vitamin B12 1mg, Tardyferon B9
Đánh giá sau điều trị:
- Lâm sàng: Sau 1 chu kì bệnh nhân đỡ đau tức ngực, không ho, không khó thở. Hiện tại sau 2 chu kì điều trị, bệnh nhân hết các triệu chứng lâm sàng, không ho không đau ngực, ăn uống tốt tăng 2kg/ tháng. Bệnh nhân sinh hoạt hằng ngày bình thường
- Trong quá trình điều trị: Bệnh nhân dung nạp tốt với điều trị, không dị ứng, không nôn, không có tác dụng phụ trên da, tiêu hóa hay huyết học
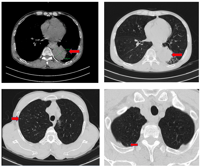
- Chụp cắt lớp vi tính lồng ngực sau 2 chu kì điều trị:Phổi trái nhu mô thùy dưới có khối đặc kích thước 37x21mm nằm sát màng phổi, sau tiêm ngấm thuốc không đồng nhất. Phổi phải có vài nốt kính mờ nhỏ rải rác nằm sát màng phổi đường kính lớn nhất 4 mm. Vài hạch nhỏ vùng trung thất trước và hạch nhóm IV cổ phải.

Trước điều trị Sau 2 chu kì điều trị
Hình 4: Hình ảnh chụp cắt lớp vi tính lồng ngực sau điều trị 2 chu kì: tổn thương u phổi giảm kích thước rõ rệt
- Chụp cắt lớp vi tính ổ bụng: Chưa phát hiện bất thường
- Chỉ điểm khối u: Trong giới hạn bình thường.
Nhận xét
Trường hợp bệnh nhân ung thư biểu mô tuyến của phổi giai đoạn di căn, không mang đột biến EGFR, sau hai chu kỳ điều trị bằng phác đồ hóa trị kết hợp miễn dịch đã ghi nhận đáp ứng khối u rõ rệt với kích thước giảm đáng kể, cho thấy hiệu quả lâm sàng nhanh chóng và rõ ràng của phương pháp này. Đây là minh chứng sinh động cho ưu thế vượt trội của liệu pháp miễn dịch kết hợp, vốn đã được khẳng định trong các thử nghiệm lâm sàng ngẫu nhiên có đối chứng như KEYNOTE-189, sự bổ sung pembrolizumab vào hóa trị chuẩn đã cải thiện đáng kể tỷ lệ đáp ứng, thời gian sống không tiến triển và sống còn toàn bộ so với hóa trị đơn thuần. Đáp ứng sớm ở bệnh nhân này không chỉ mang ý nghĩa quan trọng trong việc kiểm soát triệu chứng và nâng cao chất lượng sống, mà còn phản ánh khả năng thay đổi tiên lượng lâu dài nhờ vào tác dụng kích hoạt miễn dịch bền vững chống lại tế bào ung thư. Thành công bước đầu này củng cố thêm bằng chứng thực tiễn rằng liệu pháp miễn dịch, khi được áp dụng sớm ngay từ bước một, có thể tạo ra bước ngoặt trong điều trị nhóm bệnh nhân vốn dĩ có tiên lượng kém, đồng thời khẳng định tính ưu việt của chiến lược cá thể hóa điều trị trong thực hành y học hiện đại.

