GS. TS. Mai Trọng Khoa, PGS. TS. Phạm Cẩm Phương, BSNT. Nguyễn Bình Dương, BSNT. Nguyễn Đức Long.
Trung tâm Y học hạt nhân và Ung bướu, Bệnh viện Bạch Mai
Cường giáp trạng là tình trạng tuyến giáp hoạt động quá mức dẫn đến sản xuất hormon tuyến giáp nhiều hơn bình thường, gây ra những rối loạn trong hoạt động chuyển hóa. Basedow là dạng cường giáp phổ biến nhất (chiếm 90% các trường hợp cường giáp). Bệnh chủ yếu ở độ tuổi 20-50, nữ gặp nhiều gấp 4-10 lần nam giới. Bệnh có tính chất gia đình,với khoảng 15% các bệnh nhân có họ hàng cùng bị bệnh và 50% họ hàng các bệnh nhân có kháng thể kháng tuyến giáp lưu hành.
Basedow là một bệnh tự miễn với đặc điểm là cơ thể tự sản xuất nhiều kháng thể lưu hành gây bệnh tuyến giáp như kháng thể kháng peroxidase (anti -TPO) và kháng thể kháng thyroglobulin (anti-TG) của tuyến giáp. Tự kháng thể quan trọng nhất là globulin miễn dịch kích thích tuyến giáp (TSI – thyroidstimulating immunoglobulin). TSI tác động trực tiếp lên thụ thể của TSH trên tế bào nang giáp (gọi là TRAb), hoạt hóa quá trình tổng hợp và giải phóng hormon giáp và tăng trưởng tuyến giáp. Kết quả là tuyến giáp phì đại lan tỏa, bắt iod rất mạnh, tăng cao hoạt động sản xuất hormon giáp.
Basedow là một bệnh khá phức tạp, ảnh hưởng tới nhiều cơ quan đích, do vậy việc điều trị Basedow trên thực tế lâm sàng đòi hỏi dựa vào nhiều yếu tố: tình trạng cường giáp nặng hay nhẹ, có biến chứng đi kèm như viêm gan,dị ứng thuốc không; khả năng tuân thủ điều trị của bệnh nhân như thế nào… Từ đó các nhà lâm sàng đã đưa ra nhiều phương pháp điều trị: Nội khoa, Ngoại khoa,Sử dụng Iod phóng xạ (I-131) … Mỗi phương pháp sẽ có ưu điểm và nhược điểm riêng, việc sử dụng phương pháp nào để điều trị cần phải có sự cân nhắc kĩ lưỡng từ người thầy thuốc và phải được cá thể trên từng người bệnh.
– Điều trị bằng iốt phóng xạ thường được chỉ định rất rộng rãi: Tất cả các bệnh nhân (thuộc mọi lứa tuổi, kể cả trẻ em) được chẩn đoán xác định là có cường giáp trạng hay Basedow chưa qua bất kỳ phương pháp điều trị nào (như điều trị nội khoa, phẫu thuật)
– Hoặc tái phát sau điều trị nội khoa, tái phát sau phẫu thuật
– Biến chứng sau điều trị nội khoa (dị ứng, nhiễm độc gan, giảm bạch cầu, suy tuỷ xương sau điều trị bằng thuốc kháng giáp)
– Hoặc bệnh nhân không còn chỉ định phẫu thuật…
Dưới đây là trường hợp lâm sàng một bệnh nhân Basedow tái phát điều trị kéo dài nhiều năm và đã được điều trị Iod phóng xạ (I-131) Tại Trung tâm Y học hạt nhân và Ung bướu – Bệnh viện Bạch Mai.
Họ và tên: NGUYỄN T. V. H Giới: Nữ Tuổi: 36
Thời gian vào viện: 10 tháng 1 năm 2025
Lí do vào viện: phù nhiều 2 chi dưới
Tiền sử:
– Bệnh nhân được phát hiện mắc bệnh Basedow cách đây 18 năm và được điều trị thường xuyên tại Bệnh viện Nội tiết Trung ương, bằng thuốc Thyrozol liều 30mg/ngày. Bệnh nhân được điều trị duy trì liều 20 mg/ngày kéo dài 6 năm, sau đó bệnh nhân tự ý dừng thuốc. Tới năm 2019, bệnh tái phát, bệnh nhân được nhập viện điều trị lại Thyrozol liều 20 mg/ngày. Sau hơn 1 năm điều trị ổn định, bệnh nhân lại tự ý dừng thuốc nhưng sau đó được 10 tháng thì bệnh nhân xuất hiện hồi hộp đánh trống ngực,nhịp tim nhanh, đi khám phát hiện rung nhĩ, sau đó được điều trị lại Thyrozol 20mg/ngày và được duy trì 2,5mg/ngày cho đến thời điểm hiện tại.
– Suy tim EF bảo tồn 62% đang sử dụng Verospiron25 mg
– Gia đình: không ai mắc bệnh như bệnh nhân.
Bệnh sử:
Cách vào viện 3 tuần, bệnh nhân xuất hiện phù nhiều 2 chi dưới, kèm theo sốt không rõ nhiệt độ, tự điều trị tại nhà nhưng không đỡ. Bệnh nhân được chuyển vào Trung tâm bệnh Nhiệt đới với tình trạng phù nhiều 2 chi dưới, bụng chướng nhiều, khó thở, đại tiểu tiện bình thường.
Khi tình trạng phù giảm, hết khó thở, bụng mềm, không chướng, bệnh nhân được điều trị bằng Lugol 5% trong 2 tuần, vẫn còn tình trạng cường giáp. Sau đó tình trạng bệnh nhân ổn định hơn, được chuyển sang Trung tâm Y học hạt nhân và Ung bướu bệnh viện Bạch Mai để điều trị tiếp.
Khám vào viện: Bệnh nhân nhập viện trong tình trạng:
– Bệnh nhân tỉnh
– Thể trạng trung bình: chiều cao 156 cm, cân nặng 67 kg, chỉ số khối cơ thể (BMI): 27,53 (kg/cm2)
– Toàn thân:
+ Da niêm mạc, củng mạc mắt vàng
+ Phù 2 chi dưới, trắng mềm, ấn lõm
+ Tuyến giáp: bưới giáp to, lan tỏa, mềm, di động; tiếng thổi tâm thu 3/6 tại bướu giáp 2 bên
+ Mắt lồi 2 bên
+ Không xuất huyết dưới da
– Tim mạch: Tim loạn nhịp hoàn toàn, T1,T2 rõ, tiếng thổi tâm thu 3/6 tại mỏm
– Tiêu hóa: bụng mềm, chướng dịch nhiều, gõ đục vùng thấp; gan lách không sờ thấy
– Hô hấp: Giảm thông khí đều 2 bên, không ghi nhân tiếng rales
– Thần kinh: Không ghi nhận run đầu chi, phản xạ gân xương bình thường, không có dấu hiệu thần kinh khu trú
– Thận – tiết niệu: lượng nước tiểu là 2500ml/24h
– Cơ xương khớp: không phù niêm trước xương chày.
– Các cơ quan bộ phận khác chưa phát hiện bất thường
Cận lâm sàng:
– Đông máu:
| 4/11 | 5/11 | 8/11 | 11/11 | 12/11 | 14/11 | 18/11 | 20/11 | |
| INR | 1.97 | 2.06 | 1.95 | 2.20 | 1.92 | 3.33 | 1.44 | 1.27 |
| PT % | 41 | 39.1 | 42 | 37.3 | 31.7 | 23 | 60 | 71 |
| PT (s) | 24.4 | 25.0 | 24.1 | 26.5 | 19.8 | 39.1 | 18.4 | 16.4 |
Đông máu ngoại sinh tăng dần trở về bình thường (>70%) sau điều trị nội khoa tích cực
– Hóa sinh máu:
|
|
4/11/24 |
8/11/24 |
14/11/24 |
18/11/24 |
20/11/24 |
30/12/24 |
|
Creatinin (µmol/L) |
42 |
38 |
34 |
27 |
|
30 |
|
Albumin (g/L) |
34.7 |
43 |
43.5 |
|
|
33.3 |
|
Bilirubin toàn phần (µmol/L) |
93.2 |
83.6 |
185.3 |
209.6 |
205.5 |
12.2 |
|
Bilirubin trực tiếp (µmol/L) |
68.9 |
53.4 |
128.5 |
142 |
140.9 |
|
|
AST (U/L) |
37 |
19 |
30 |
32 |
|
39 |
|
ALT (U/L) |
10 |
15 |
28 |
42 |
|
28 |
|
FT 4 (pmol/L) |
16.4 |
|
|
|
16.1 |
35.5 |
|
TSH (uU/mL) |
0.000 |
|
|
|
0.005 |
0.005 |
|
NT-proBNP (pg/mL) |
|
2402 |
5748 |
807.5 |
211 |
|
|
TRAb |
40 |
|
|
|
|
|
Tình trạng ứ mật chưa được cải thiện (Bilirubin vẫn còn tăng), tình trạng Suy tim đã cải thiện (Giảm NT-proBNP)
– Tổng phân tích tế bào máu ngoại vi:
|
|
4/11/24 |
14/11/24 |
18/11/24 |
20/11/24 |
30/12/24 |
|
Hồng cầu (T/L) |
3.91 |
4.47 |
4.64 |
5.4 |
4.68 |
|
Hemoglobin (g/L) |
94 |
114 |
115 |
135 |
124 |
|
Hematocrit (%) |
30 |
35.6 |
38.4 |
43.8 |
37.2 |
|
Tiểu cầu (G/L) |
146 |
186 |
169 |
164 |
211 |
|
Bạch cầu (G/L) |
7.8 |
8.06 |
13.21 |
14.05 |
7.46 |
|
Bạch cầu trung tính (G/L) |
5.15 |
6.32 |
9.5 |
10.92 |
4.71 |
|
Bạch cầu Lympho (G/L) |
2.03 |
0.8 |
2.21 |
1.82 |
1.92 |
Công thức máu hiện chưa thấy gì bất thường.
– Đo độ tập trung I-131 tại tuyến giáp:
+ Sau 02h: 32,74% (Tăng)
+ Sau 24h: 61,75% (Tăng)
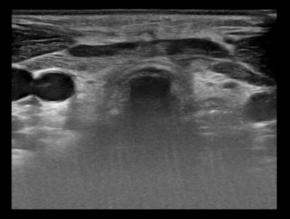
– Siêu âm tuyến giáp:
Hình ảnh nhân hai thùy tuyến giáp – TIRADS 3 / Bướu giáp Basedow.
– Siêu âm tim: Hở hai lá vừa – nhiều, hở chủ nhẹ, buồng thất trái giãn, buồng thất phải giãn
Chức năng tâm thu thất trái, thất phải trong giới hạn bình thường
– Điện tâm đồ: Nhịp xoang 76 chu kỳ/phút
Chẩn đoán: Vàng da do ứ mật – Suy tim/Basedow điều trị nội khoa 18 năm.
Tình trạng bệnh nhân trước khi điều trị Iod phóng xạ (I-131):
Lâm sàng:
– Tỉnh, tiếp xúc được
– Thể trạng trung bình: chiều cao 156 cm , cân nặng 67 kg, chỉ số khối cơ thể (BMI): 27,53 (kg/cm2)
– Không sốt, da niêm mạc hồng
– Không phù, không xuất huyết dưới da
– Tuyến giáp to, lan tỏa, mềm, di động; tiếng thổi tâm thu 3/6 tại bướu giáp 2 bên
– Mắt lồi 2 bên
– Tim mạch: Tim loạn nhịp hoàn toàn, T1,T2 rõ, tiếng thổi tâm thu 3/6 tại mỏm
– Tiêu hóa: bụng mềm, không chướng, gan lách không sờ thấy
– Hô hấp: Không khó thở, phổi thông khí đều,không ghi nhân tiếng rales
– Thần kinh: Không ghi nhận run đầu chi, phản xạ gân xương bình thường, không có dấu hiệu thần kinh khu trú
– Thận – tiết niệu: Tiểu 2 lít / ngày, nước tiểu vàng trong
– Cơ xương khớp: không phù niêm trước xương chày.
– Các cơ quan bộ phận khác chưa phát hiện bất thường
– Xét nghiệm: FT4: 28,02 pmol/L; TSH:0.005 (uU/mL)
– Các xét nghiệm khác trong giới hạn bình thường.
Điều trị: Đây là trường hợp bệnh nhân nữ, 36 tuổi, được chẩn đoán là Basedow và đã được điều trị 18 năm bằng thuốc kháng giáp trạng tổng hợp, nhưng bệnh tái phát nhiều đợt. Vì vậy bệnh nhân đã được Hội đồng hội chẩn chỉ định điều trị bằng Iod phóng xạ (I-131) với liều 7mCi.
Hiện tại bệnh nhân đang được theo dõi, tái khám định kỳ tại Trung tâm Y học hạt nhân và Ung bướu – Bệnh viện Bạch Mai
Lời bàn:
– Như vậy đây là một trường hợp bệnh nhân Basedow bị tái phát nhiều lần sau điều trị thuốc kháng giáp trạng tổng hợp. Bệnh nhân có tình trạng ứ mật với xét nghiệm đông máu ngoại sinh giảm (PT < 70%), Bilirubin toàn phần tăng cao, nhất là Bilirubin trực tiếp. Tình trạng suy tim: khó thở nhiều, tiếng thổi tâm thu 3/6tại mỏm, proBNP tăng cao. Bệnh nhân đã được điều trị nội khoa tích cực nhằm làm giảm các triệu chứng.
– Với những tình trạng suy tim, suy chức năng gan nặng nên bệnh nhân cần phải ngừng sử dụng thuốc kháng giáp trạng tổng hợp (Thyrozol) và cần phải chuyển sang phương pháp điều trị khác. I-131 là lựa chọn hợp lý nhất cho bệnh nhân này, do I-131 khi đưa vào cơ thể thì tập trung chủ yếu tại tuyến giáp, lượng thừa còn lại sẽ bị đào thải ra ngoài cơ thể theo con đường tự nhiên (qua nước tiểu…) và gần như không tập trung ở các cơ quan khác. Do đó I-131 rất thích hợp cho các bệnh nhân Basedow bị tổn thương gan, viêm gan, tủy xương do thuốc kháng giáp, cũng như bị suy tim do cường giáp trạng gây ra.
– I-131 có thể làm nhỏ bướu giáp và làm mất triệu chứng cường giáp, từ đó đưa bệnh nhân về tình trạng bình giáp. Sở dĩ có thể làm được như vậy là do tia beta (β) đã làm giảm và làm mất sự tăng sinh của các liên bào tuyến giáp cũng như làm xơ hóa các mao mạch máu nuôi tuyến giáp. Kết quả là I-131 đã làm bướu nhỏ lại (còn được gọi là phương pháp phẫu thuật không cần dao), tạo tính thẩm mỹ cao và đưa tình trạng cường giáp trở về bình giáp khi chúng ta xác định được liều I-131 hợp lý.
– Trong thời gian tới, bệnh nhân vẫn được tiếp tục theo dõi, đánh giá, định kỳ để phát hiện các thay đổi bất thường để từ đó có kế hoạch xử trí một cách kịp thời.
