CASE LÂM SÀNG
Điều trị bệnh nhân mắc đồng thời hai loại ung thư: Ung thư phổi và ung thư tuyến tiền liệt
GS. TS. Mai Trọng Khoa, PGS.TS Phạm Cẩm Phương, Ths. BS. Hoàng Công Tùng, BSNT Nguyễn Đức Thịnh, BS. Trương Thùy An
Trung tâm Y học hạt nhân và Ung bướu – BV Bạch Mai
Nhiều ung thư nguyên phát xuất hiện đồng thời (Synchronous Multiple Primary Malignancies), được định nghĩa là sự xuất hiện của hai hoặc nhiều khối u ác tính độc lập trong vòng 2 tháng, đang trở thành một vấn đề lâm sàng đáng lưu ý do sự gia tăng tuổi thọ và tiến bộ trong sàng lọc ung thư.
Hiện nay, trong thực tế ung thư phổi và ung thư tuyến tiền liệt là hai loại ung thư thường gặp ở nam giới, nhưng việc mắc đồng thời của cả hai loại ung thư này trên cùng một bệnh nhân là tương đối hiếm gặp, với tỷ lệ báo cáo dao động từ 2% đến 17%. Chẩn đoán xác định đòi hỏi phải thỏa mãn các tiêu chuẩn nghiêm ngặt về mô bệnh học để loại trừ khả năng di căn chéo giữa các cơ quan.
Thách thức lớn nhất trong thực hành lâm sàng đối với nhóm bệnh nhân này là phân biệt tổn thương phổi là nguyên phát hay là di căn từ tuyến tiền liệt, hay ngược lại. Hình ảnh học đơn thuần thường không đủ đặc hiệu, do đó, xét nghiệm hóa mô miễn dịch với các dấu ấn đặc thù (PSA, NKX3.1 so với TTF-1, Napsin A) đóng vai trò then chốt trong chẩn đoán phân biệt. Việc xác định chính xác bản chất tổn thương có ý nghĩa quyết định trong việc lựa chọn chiến lược điều trị cho người bệnh.
Dưới đây, chúng tôi xin giới thiệu một bệnh nhân nam giới mắc đồng thời (đồng thì) : Ung thư phổi và ung thư tuyến tiền liệt, điểm đặc biệt là 2 loại ung thư nguyên phát này được phát hiện cách nhau trong vòng 2 tháng.
CASE LÂM SÀNG
Bệnh nhân Lê V C, nam, 63 tuổi
Ngày nhập viện: Tháng 7 năm 2025
Lí do vào viện: Tiểu khó
Tiền sử: Đái tháo đường type 2, tăng huyết áp điều trị thường xuyên. Hút thuốc lá 10 bao năm, không uống rượu bia. Gia đình không có ai mắc bệnh lý liên quan
Bệnh sử: Cách vào viện 1 tháng, bệnh nhân xuất hiện tiểu khó tăng dần, tiểu nhỏ giọt, tiểu không hết bãi kèm các triệu chứng tiểu đêm, tiểu nhiều lần, ảnh hưởng đến sinh hoạt. Bệnh nhân không sốt, không gầy sút cân, ăn uống bình thường, điều trị thuốc không rõ loại, bệnh không thuyên giảm, đi khám tại bệnh viện tuyến tỉnh. Bệnh nhân được chụp cộng hưởng từ vùng chậu và cắt lớp vi tính toàn thân, phát hiện tổn thương tại tuyến tiền liệt kèm nhiều tổn thương tại phổi à chuyển bệnh viện Bạch Mai khám và điều trị.
Khám lâm sàng thời điểm vào viện:
Bệnh nhân tỉnh, không sốt.
Huyết động ổn định.
Tim đều, nhịp tim 85 chu kỳ/phút, tiếng tim rõ, không phát hiện tiếng bệnh lý.
Phổi rì rào phế nang hai phổi nghe rõ, không có ran.
Bụng mềm, không chướng.
Gan lách không sờ thấy.
Bệnh nhân tiểu được, nước tiểu vàng.
Hố thắt lưng hai bên không đầy, ấn không đau.
Không có dấu hiệu chạm thận, bập bềnh thận.
Không có điểm đau niệu quản hai bên.
Xét nghiệm cận lâm sàng
Bệnh nhân được chụp cắt lớp vi tính vùng tiểu khung, phát hiện khối u tại thùy phải của tuyến tiền liệt. Sau đó, bệnh nhân đã được chụp phim cộng hưởng từ nhằm đánh giá chính xác tính chất khối u (Hình 1).

Hình 1:Hình ảnh nốt vùng chuyển tiếp lệch phải (PIRADs 3) trên phim cắt lớp vi tính (mũi tên đỏ) và trên phim cộng hưởng từ (mũi tên vàng).
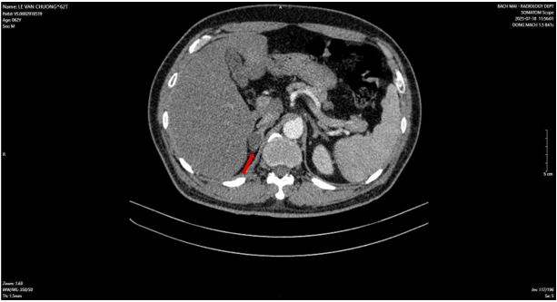
Sau đó, bệnh nhân được bổ sung các xét nghiệm đánh giá toàn thân. Kết quả phim chụp cắt lớp vi tính ngực và bụng cho thấy, không chỉ có khối u ở tuyến tiền liệt mà bệnh nhân còn có nhiều khối u khác ở phổi (Hình 2), tuyến thượng thận (Hình 3) và xương (Hình 4).

Hình 2: Hình ảnh 02 khối u bờ đa cung ở nhu mô thùy giữa phổi phải, dính vào màng phổi trung thất (mũi tên đỏ) kèm nhiều nốt đặc nhỏ rải rác nhu mô phổi hai bên (mũi tên vàng) gợi ý tổn thương thứ phát.

Hình 3: Hình ảnh dày tuyến thượng thận phải tạo nốt có kích thước 19 x 17 mm (mũi tên đỏ).

Hình 4: Hình ảnh xạ hình xương cho thấy các ổ tăng hoạt độ phóng xạ nhiều vị trí tại xương cột sống, xương đòn phải, xương chậu phải, cung sau xương sườn 2, 5 bên trái, đầu dưới xương cẳng tay bên phải, đầu trên xương đùi phải hướng đến tổn thương thứ phát.
Sau đó, bệnh nhân được chụp PET/CT toàn thân, một phương pháp y học hạt nhân hiện đại, rất có giá trị trong phát hiện các tổn thương, đặc b iệt là các tổn thương di căn hạch và di căn xa. Phim chụp cho thấy bệnh nhân có rất nhiều tổn thương tại nhu mô phổi hai bên, tại tuyến thượng thận trái, tại xương nhiều vị trí và tại tuyến tiền liệt, tăng hấp thu FDG thể hiện tính chất ác tính (Hình 5).


Hình 5: Hình ảnh PET/CT cho thấy: 02 khối u phổi phải, kích thước lớn nhất 16 x 23 mm, xâm lấn vào trung thất (SUVmax: 17,8) và các nốt đặc nhỏ rải rác nhu mô hai phổi, tăng hấp thu FDG (SUV: 10,5) (mũi tên đỏ). Hình ảnh các tổn thương tại xương (mũi tên trắng) tương ứng với các vị trí tổn thương quan sát thấy trên xạ hình xương (SUVmax: 22,2). Hình ảnh nốt tuyến thượng thận trái (mũi tên xanh), tăng hấp thu FDG (SUVmax: 15,2). Hình ảnh tăng hấp thu FDG tại vùng chuyển tiếp,vùng ngoại vi bên phải tuyến tiền liệt và thành dưới bàng quang (SUVmax: 17,1) (mũi tên vàng).
Sau đó bệnh nhân đã được sinh thiết khối u phổi phải xuyên thành ngực và phẫu thuật cắt bỏ tổn thương tại tuyến tiền liệt. Kết quả mô bệnh học cho thấy hai khối u có nguồn gốc khác nhau:
Mô bệnh học u phổi phải: Ung thư biểu mô không tế bào nhỏ.
Mô bệnh học bệnh u tuyến tiền liệt: Ung thư biểu mô tuyến tiền liệt, Gleason 5 + 4 = 9.
Bệnh nhân được nhuộm hóa mô miễn dịch khối u phổi, kết quả cho thấy hình ảnh mô bệnh học và hóa mô miễn dịch phù hợp với Ung thư biểu mô tuyến của phổi (Các tế bào dương tính với CK7, Napsin A; các tế bào âm tính với CK 5/6, p40), không có đột biến gen EGFR.
Qua các triệu chứng lâm sàng và các xét nghiệm cận lâm sàng, mô bệnh học, bệnh nhân được chẩn đoán xác định:
Ung thư biểu mô tuyến của phải di căn phổi đối bên, tuyến thượng thận, xương cT3N0M1 giai đoạn IV/Ung thư biểu mô tuyến tiền liệt đã phẫu thuật, Gleason 5 + 4 nguy cơ cao.
Bệnh nhân được hội chẩn hội đồng chuyên môn, được chỉ định truyền hóa chất phác đồ Pemetrexed + Carboplatin kết hợp tiêm thuốc nội tiết định kỳ Degarelix.
Sau 2-3 tháng điều trị. Bệnh nhân đã cho thấy kết quả ban đầu khả quan. Tình trạng bệnh của bệnh nhân ổn định không chỉ được thể hiện thông qua các triệu chứng lâm sàng mà còn thể hiện trên các xét nghiệm các dấu ấn ung thư.
| Tên xét nghiệm | 20/08 | 22/09 | 20/10 | 20/11 | 06/01 |
| CEA (ng/mL) | 4.55 | 6.21 | 4.47 | 5.03 | 3.3 |
| Tên xét nghiệm | 21/08 | 20/10 | 20/11 |
| totalPSA (ng/mL) | 2.9 | 0.12 | 0.07 |
Bệnh nhân sẽ được tiếp tục theo dõi trong quá trình điều trị thông qua các triệu chứng lâm sàng và các phương tiện cận lâm sàng như chẩn đoán hình ảnh, các chỉ số dấu ấn ung thư,…
Lời bàn:
Ca lâm sàng này là một trong số các trường hợp hiếm gặp về sự xuất hiện đồng thời hai loại ung thư: Phổi và tuyến tiền liệt. Hiểu rõ và phân loại chính xác những bệnh nhân khi mắc nhiều loại ung thư là yếu tố quyết định để đưa ra chiến lược điều trị hiệu quả, an toàn cho người bệnh.
Bệnh nhân trong ca lâm sàng này được xếp vào nhóm: Mắc nhiều ung thư nguyên phát “đồng thì” hay Đa ung thư nguyên phát xuất hiện “đồng thời” (Synchronous Multiple Primary Malignancies). Căn cứ để xác định là hai khối u được phát hiện trong vòng 2 tháng (thỏa mãn tiêu chuẩn “đồng thì” – thường quy ước là dưới 6 tháng). Cụ thể là:
- Về mặt bản chất mô bệnh học (là yếu tố đặc biệt quan trọng):
- Khối u ở phổi: Là ung thư biểu mô tuyến (Adenocarcinoma) của phổi với các dấu ấn hóa mô miễn dịch đặc trưng (CK7+, Napsin A+). Đây là những dấu ấn khẳng định nguồn gốc từ biểu mô đường hô hấp.
- Khối u tuyến tiền liệt: Là ung thư biểu mô tuyến (Adenocarcinoma) của tuyến tiền liệt với thang điểm Gleason 9 (5+4).
- Kết luận: Mặc dù cả hai đều là “ung thư biểu mô tuyến”, nhưng hóa mô miễn dịch đã chứng minh chúng có nguồn gốc tế bào hoàn toàn khác nhau. Khối u tuyến tiền liệt không phải là di căn của phổi và ngược lại.
- Về mặt giai đoạn (Staging):
- Ung thư phổi đã ở giai đoạn IV (có di căn xa: phổi đối bên, thượng thận, xương).
- Ung thư tuyến tiền liệt là nhóm nguy cơ cao (Gleason 9).
Để có thể đưa ra một chiến lược điều trị đúng, chính xác cho bệnh nhân này, chúng ta cần phải trả lời thêm một câu hỏi sau: Chúng ta có thể khẳng định khối u ở tuyến tiền liệt là một ổ di căn khác của ung thư phổi giai đoạn IV hay không?.
Để trả lời câu hỏi này, chúng ta có thể:
- Dựa vào Hóa mô miễn dịch: Tế bào ung thư phổi di căn thường vẫn giữ các dấu ấn như Napsin A hay TTF-1. Nếu khối u ở tiền liệt tuyến là di căn từ phổi, nó phải dương tính với các dấu ấn này.
- Dựa vào đặc điểm bệnh học: Ung thư phổi rất hiếm khi di căn đơn độc đến tuyến tiền liệt. Trong khi đó, ung thư tuyến tiền liệt là một bệnh lý nguyên phát rất phổ biến ở nam giới 63 tuổi.
Dựa vào các lập luận trên chúng ta đưa ra hướng điều trị như sau cho bệnh nhân: Thông thường, chúng ta sẽ ưu tiên điều trị hệ thống (hóa trị, liệu pháp miễn dịch hoặc đích) cho ung thư phổi để kiểm soát sự lan tràn. Đối với ung thư tuyến tiền liệt, vì là nhóm nguy cơ cao nhưng bệnh nhân đang có một ung thư khác giai đoạn cuối, việc điều trị sẽ được cân nhắc kỹ giữa phẫu thuật/xạ trị hay chỉ điều trị nội khoa (liệu pháp hormone – ADT) để tránh quá tải cho bệnh nhân.
Vì vậy bệnh nhân này đã được lựa chọn là điều trị hóa chất (cho ung thư phổi) kết hợp với điều trị nội tiết (cho ung thư tuyến tiền liệt)
