CASE LÂM SÀNG:
ĐIỀU TRỊ ĐÍCH KẾT HỢP VỚI NỘI TIẾT CHO
UNG THƯ VÚ TIẾN TRIỂN TẠI BỆNH VIỆN BẠCH MAI
GS. TS. Mai Trọng Khoa, PGS. TS. Phạm Cẩm Phương, TS. Phạm Văn Thái
BSNT. Đỗ Thị Thanh Xuân
Trung tâm Y học hạt nhân và Ung bướu – Bệnh viện Bạch Mai
Trường Đại học Y Hà Nội
Trường Đại học Y dược – Đại học Quốc gia Hà Nội
I. TỔNG QUAN
Ung thư vú là loại ung thư phổ biến nhất ở phụ nữ trên toàn thế giới. Theo GLOBOCAN 2022, ung thư vú đứng đầu về tỷ lệ mắc mới (2,3 triệu ca, chiếm 11,6%) và là nguyên nhân tử vong đứng thứ 4 do ung thư. Tại Việt Nam, tỷ lệ mắc chuẩn theo tuổi của ung thư vú chiếm khoảng 34/100.000 dân. Ung thư vú tiến triển hoặc di căn có tiên lượng dè dặt, tuy nhiên với sự ra đời của các thuốc ức chế CDK4/6 – Cyclin-dependent kinase 4 và 6 (Palbociclib, Ribociclib, Abemaciclib), thời gian sống thêm không tiến triển (PFS) đã được cải thiện rõ rệt.
Khoảng 70% các trường hợp ung thư vú là loại có thụ thể nội tiết dương tính (ER+), HER2 âm tính (HER2-). Đối với nhóm bệnh nhân này, liệu pháp nội tiết là điều trị nền tảng ở giai đoạn di căn. Tuy nhiên, tình trạng kháng thuốc nội tiết là một thách thức lớn. Sự ra đời của các chất ức chế CDK4/6 như Palbociclib đã tạo ra một cuộc cách mạng trong điều trị ung thư vú. Bình thường, CDK4/6 là các enzym giúp tế bào chuyển từ pha nghỉ (pha G1) sang pha nhân đôi DNA (pha S), khi enzym này bị ức chế, tế bào không thể nhân đôi, nên ngừng phát triển và chết đi. Như vậy, Palbociclib tác động trực tiếp vào chu trình tế bào, ngăn chặn sự tăng sinh không kiểm soát của tế bào ung thư. Nghiên cứu then chốt PALOMA-2 đã chứng minh rằng việc kết hợp Palbociclib với Letrozole trong điều trị bước một giúp kéo dài đáng kể thời gian sống còn không tiến triển bệnh so với chỉ dùng Letrozole đơn thuần, trở thành tiêu chuẩn điều trị cho bệnh nhân ung thư vú di căn ER+/HER2- .
Sau đây là ca lâm sàng bệnh nhân Ung thư vú tiến triển đã được chẩn đoán và điều trị với phác đồ phối phối hợp điều trị thuốc thuốc ức chế CDK4/6 và thuốc kháng nội tiết với tại Trung tâm Y học hạt nhân và Ung bướu – Bệnh viện Bạch Mai:
A. HÀNH CHÍNH
Họ và tên: Nguyễn T. H.
Tuổi: 66
Giới: Nữ
Địa chỉ: Trần Phú, Hà Giang
Ngày vào viện: 27/11/2024
B. CHUYÊN MÔN
- Lý do vào viện: Tự sờ thấy khối u vú phải bất thường tại vị trí sẹo mổ cũ.
- Tiền sử: Khỏe mạnh, đã mãn kinh, gia đình chưa phát hiện bất thường.
- Bệnh sử:
Tháng 10/2020: Bệnh nhân tự sờ thấy khối u vú phải, được chẩn đoán ung thư vú phải cT4N0M0, đã điều trị hóa trị tiền phẫu phác đồ TC × 5 chu kỳ, phẫu thuật Patey vú phải (giải phẫu bệnh sau mổ: carcinoma NST độ II, di căn 2/11 hạch, ER (+++), PR (+++), Her2 (-), Ki67 20%). Sau phẫu thuật, bệnh nhân điều trị nội tiết bổ trợ không thường xuyên, đã dừng điều trị hơn 2 năm.
Tháng 11/2024: bệnh nhân tự sờ thấy nốt tổn thương cứng chắc vùng thành ngực phải với kích thước khoảng 1cm tại vị trí sẹo mổ cũ, được sinh thiết tổn thương thành ngực làm giải phẫu bệnh: Ung thư biểu mô xâm nhập, đánh giá phát hiện tổn thương di căn phổi. Sau đó bệnh nhân nhập viện vào Trung tâm Y học hạt nhân và Ung bướu, bệnh viện Bạch Mai để đánh giá và điều trị tiếp.
- Khám lúc vào viện:
a, Khám toàn thân:
– Bệnh nhân tỉnh, Glasgow 15 điểm.
– Không sốt, da, niêm mạc hồng, tuyến giáp không to.
– Thể trạng trung bình
– Hạch ngoại vi không sờ thấy
b, Khám bộ phận:
– Tim mạch: Nhịp tim đều, T1, T2 rõ, không có tiếng tim bệnh lý
– Hô hấp: Lồng ngực cân đối, phổi thông khí rõ, không rale.
– Tiêu hoá: Bụng mềm, không chướng; Gan, lách không sờ thấy.
– Thần kinh: Không có hội chứng màng não; Không có dấu hiệu thần kinh khu trú.
– Các cơ quan, bộ phận khác: nốt tổn thương cứng chắc vùng thành ngực phải kích thước khoảng 1cm tại vị trí sẹo mổ cũ.
- Cận lâm sàng
a, Xét nghiệm máu
– Huyết học: Hồng cầu 136g/L; Bạch cầu 5.67G/L; Bạch cầu trung tính 3,8G/L; Tiểu cầu 294G/L: trong giới hạn bình thường
– Sinh hoá: AST 18U/L, ALT 24U/L, CEA 1,32, CA 15-3 43,8: chức năng gan trong giới hạn bình thường, các chỉ số dấu ấn ung thư có CEA trong giới hạn bình thường và CA 15-3 tăng cao (so với giới hạn bình thường là dưới 30U/mL)
b, Chẩn đoán hình ảnh
– Chụp cắt lớp vi tính ngực:
+ Thành ngực phải có nốt đặc kích thước khoảng 11x9mm – theo dõi tổn thương tái phát
+ Phổi phải: nhu mô thuỳ giữa và dưới có các khối – nốt đặc, lớn nhất 19x18mm
+ Phổi trái: nhu mô thuỳ trên và đáy phổi sát màng phổi có các khối nốt đặc, lớn nhất 16x17mm
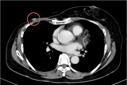
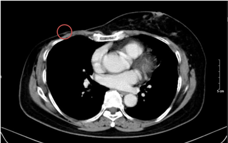
Hình 1. Hình ảnh chụp CT ngực trước điều trị: Tổn thương tái phát thành ngực
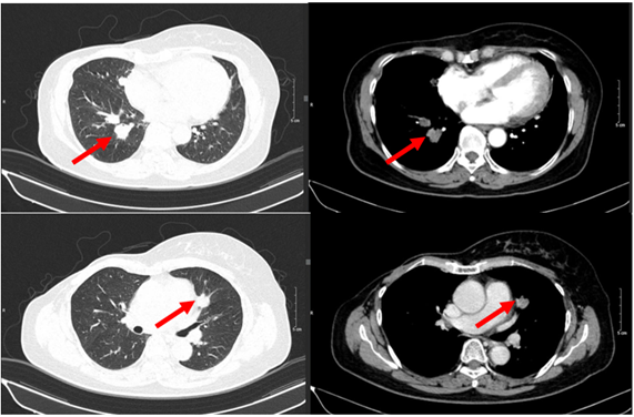
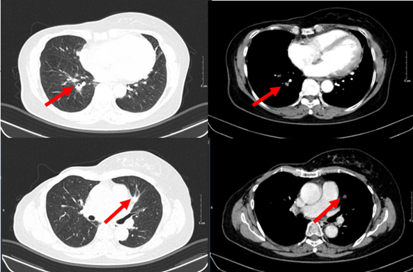
Hình 2. Hình ảnh chụp CT ngực trước điều trị: Tổn thương phổi 2 bên
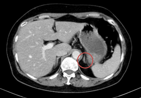
– Chụp cắt lớp vi tính bụng: Theo dõi dày khu trú tuyến thượng thận trái tạo nốt đường kính khoảng 9mm
Hình 3. Hình ảnh chụp CT bụng trước điều trị: Nốt tuyến thượng thận trái
– Cộng hưởng từ sọ não: chưa phát hiện tổn thương thứ phát
6. Chẩn đoán xác định
Ung thư biểu mô tuyến vú phải Luminal A cT4N0M0 – ypT4N1M0 – tái phát di căn thành ngực và phổi.
7. Điều trị
Bệnh nhân được điều trị phác đồ: Palbociclib 125 mg/ngày (uống 21 ngày, nghỉ 7 ngày) + Letrozole 2,5 mg/ngày liên tục, bắt đầu từ 12/2024.
Sau 3 chu kỳ: bệnh đáp ứng một phần, dung nạp thuốc tốt, không ghi nhận tác dụng phụ độ 3 – 4.
SO SÁNH TRƯỚC VÀ SAU ĐIỀU TRỊ
| T11/2024 | T1/2025 | T2/2025 | T3/2025 | |
| Lâm sàng | tổn thương cứng chắc vùng thành ngực phải kích thước khoảng 1cm tại vị trí sẹo mổ cũ | Không còn sờ thấy tổn thương thành ngực phải | ||
| Hồng cầu (g/L) | 136 | 125 | 125 | 127 |
| Tiểu cầu (G/L) | 294 | 443 | 189 | 215 |
| Bạch cầu (G/L) | 5,67 | 3,77 | 2,99 | 3,11 |
| Bạch cầu trung tính (G/L) | 3,8 | 2,03 | 1,65 | 1,58 |
| AST (U/L) | 18 | 17 | 18 | 22 |
| ALT (U/mL) | 24 | 17 | 15 | 20 |
| CEA | 1,32 | 1,93 | 2,94 | |
| CA 153 | 43,8 | 38,5 | 32,2 |
Hình 7. Hình ảnh chụp CT ngực trước và sau điều trị: Tổn thương tái phát thành ngực
Hình 8. Hình ảnh chụp CT ngực trước và sau điều trị: Tổn thương phổi trái
Hình 9. Hình ảnh chụp CT ngực trước và sau điều trị: Tổn thương phổi phải
Hình 10. Hình ảnh chụp CT bụng trước và sau điều trị: Nốt tuyến thượng thận trái
ĐÁNH GIÁ KẾT QUẢ ĐIỀU TRỊ SAU 3 CHU KỲ
- Lâm sàng:
– Bệnh nhân tỉnh, không sốt
– Thể trạng tốt, sinh hoạt bình thường
– Không còn sờ thấy tổn thương thành ngực phải
– Tim đều, phổi thông khí tốt, bụng mềm.
- Cận lâm sàng
– Huyết học: Hồng cầu 127g/L; Bạch cầu 3,11G/L; Bạch cầu trung tính 1,58G/L; Tiểu cầu 215G/L: số lượng hồng cầu và tiểu cầu trong giới hạn bình thường; số lượng bạch cầu có giảm nhẹ (so với giới hạn bình thường là 4 – 10G/L), bệnh nhân có hạ bạch cầu trung tính độ I (hạ bạch cầu trung tính độ I: 1,5 ≤ số lượng bạch cầu trung tính < 2G/L).
– Sinh hoá: AST 22U/L, ALT 20U/L, CEA 2,94, CA 15-3 32,2: chức năng gan trong giới hạn bình thường; chỉ số CEA tăng nhẹ so với thời điểm bắt đầu điều trị nhưng vẫn trong giới hạn bình thường (CEA ≤ 5 ở bệnh nhân không hút thuốc); chỉ số CA 15-3 có giảm đáng kể so với thời điểm bắt đầu điều trị, chỉ còn tăng nhẹ (so với giới hạn bình thường là dưới 30U/mL)
– Chụp cắt lớp vi tính ngực:
+ Thành ngực phải có nốt đặc đường kính 5mm – theo dõi tổn thương tái phát
+ Phổi phải: nhu mô thuỳ giữa và dưới có các khối – nốt đặc, lớn nhất 7x8mm
+ Phổi trái: nhu mô thuỳ trên và đáy phổi sát màng phổi có các khối nốt đặc, lớn nhất 9x8mm
Hình 4. Hình ảnh chụp CT ngực sau điều trị: Tổn thương tái phát thành ngực
Hình 5. Hình ảnh chụp CT ngực sau điều trị: Tổn thương phổi 2 bên
– Chụp cắt lớp vi tính bụng: Theo dõi dày khu trú tuyến thượng thận trái tạo nốt đường kính khoảng 9mm (không thay đổi)
Hình 6. Hình ảnh chụp CT bụng sau điều trị: Nốt tuyến thượng thận trái
- Kết quả
Sau 3 chu kỳ điều trị với Palbociclib và Letrozole, bệnh nhân được đánh giá là đáp ứng một phần theo tiêu chuẩn RECIST. Các tổn thương trên lâm sàng và hình ảnh học đều giảm kích thước đáng kể, chất chỉ điểm khối u CA 15-3 giảm. Bệnh nhân dung nạp thuốc tốt, không ghi nhận độc tính đáng kể ngoài giảm bạch cầu trung tính độ 1, hiện không cần can thiệp gì.
- Hướng điều trị tiếp theo
– Tiếp tục điều trị duy trì Palbociclib + Letrozole.
– Tái khám định kỳ 2–3 tháng/lần.
– Theo dõi đánh giá đáp ứng bằng cắt lớp vi tính ngực, bụng định kỳ, theo dõi sát tổn thương tuyến thượng thận.
TÓM LẠI
Các thuốc ức chế CDK 4/6 như Palbociclib tác động trực tiếp vào chu trình tế bào, ngăn chặn sự tăng sinh không kiểm soát của tế bào ung thư, mang lại hiệu quả cao trong điều trị, nhất là khi phối hợp với các thuốc kháng nội tiết. Ca lâm sàng này minh họa cho hiệu quả vượt trội của phác đồ kết hợp thuốc ức chế CDK4/6 là Palbociclib và thuốc kháng nội tiết Letrozole trong điều trị bước một ung thư vú di căn, có thụ thể nội tiết dương tính, HER2 âm tính, ngay cả trên một bệnh nhân đã tái phát sau điều trị ban đầu. Phác đồ không chỉ mang lại đáp ứng tốt về mặt kiểm soát khối u mà còn giúp duy trì chất lượng cuộc sống cho người bệnh với độc tính có thể kiểm soát được. Điều này khẳng định vai trò nền tảng của liệu pháp nhắm trúng đích kết hợp nội tiết trong thực hành lâm sàng hiện nay.
