Miễn dịch & ung bướu
Điều trị bệnh nhân ung thư phổi giai đoạn muộn có di chứng liệt 2 chi dưới tại Bệnh viện Bạch Mai
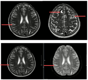
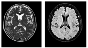
Điều trị bệnh nhân ung thư phổi giai đoạn muộn có di chứng liệt 2 chi dưới tại Bệnh viện Bạch Mai GS.TS.Mai Trọng Khoa, PGS.TS. Phạm Cẩm Phương, ThS.BS.Lê Văn Long, BS. Nguyễn Đăng Khôi Trung tâm Y học hạt nhân và Ung bướu Bệnh viện Bạch Mai Tại...
Điều trị ung thư phổi không tế bào nhỏ giai đoạn di căn tại Bệnh viện Bạch Mai
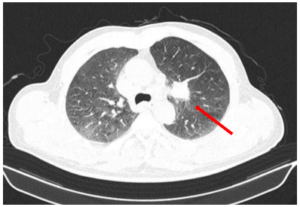
Điều trị ung thư phổi không tế bào nhỏ giai đoạn di căn tại Bệnh viện Bạch Mai GS.TS Mai Trọng Khoa, PGS.TS Phạm Cẩm Phương, BSCKII. Lê Viết Nam. Trung tâm Y học hạt nhân và ung bướu – Bệnh viện Bạch Mai Ung thư phổi là một trong...
Ca lâm sàng: Điều trị bệnh nhân ung thư phổi di căn phổi, di căn xương tại Trung tâm Y học hạt nhân và Ung bướu, Bệnh viện Bạch Mai
Ca lâm sàng: Điều trị bệnh nhân ung thư phổi di căn phổi, di căn xương tại Trung tâm Y học hạt nhân và Ung bướu, Bệnh viện Bạch Mai GS.TS. Mai Trọng Khoa, PGS. TS. Phạm Cẩm Phương, BSCKII Lê Viết Nam, BSNT Vũ Thị Niên Trung tâm Y...
CASE LÂM SÀNG: ĐIỀU TRỊ BỆNH NHÂN MẮC HAI LOẠI UNG THƯ: UNG THƯ HẮC TỐ TÁI PHÁT DI CĂN VÀ UNG THƯ BIỂU MÔ TẾ BÀO GAN TẠI TRUNG TÂM Y HỌC HẠT NHÂN VÀ UNG BƯỚU, BỆNH VIỆN BẠCH MAI.
CASE LÂM SÀNG: ĐIỀU TRỊ BỆNH NHÂN MẮC HAI LOẠI UNG THƯ: UNG THƯ HẮC TỐ TÁI PHÁT DI CĂN VÀ UNG THƯ BIỂU MÔ TẾ BÀO GAN TẠI TRUNG TÂM Y HỌC HẠT NHÂN VÀ UNG BƯỚU, BỆNH VIỆN BẠCH MAI. GS.TS. Mai Trọng Khoa, BSNT. Nguyễn Văn Tiến,...
Ca lâm sàng: Điều trị bệnh nhân ung thư phổi di căn xương tại Trung tâm Y học hạt nhân và Ung bướu, Bệnh viện Bạch Mai
Ca lâm sàng: Điều trị bệnh nhân ung thư phổi di căn xương tại Trung tâm Y học hạt nhân và Ung bướu, Bệnh viện Bạch Mai GS.TS. Mai Trọng Khoa, PGS.TS. Phạm Cẩm Phương, BSCKII. Lê Viết Nam, BSNT. Vũ Thị Niên Trung tâm Y học hạt nhân và...
Ca lâm sàng: Kết hợp thuốc miễn dịch (Pembrolizumab) với hóa chất trong điều trị ung thư phổi không tế bào nhỏ di căn tại bệnh viện Bạch Mai.
Ca lâm sàng: Kết hợp thuốc miễn dịch (Pembrolizumab) với hóa chất trong điều trị ung thư phổi không tế bào nhỏ di căn tại bệnh viện Bạch Mai. GS.TS. Mai Trọng Khoa1,2, PGS.TS. Phạm Cẩm Phương1,2, BSCKII. Lê Viết Nam1, SV. Đào Phương Thúy2. 1: Trung tâm Y học...
Điều trị bệnh nhân ung thư đại tràng Sigma di căn gan tại Trung tâm Y học hạt nhân và Ung bướu, Bệnh viện Bạch Mai
Điều trị bệnh nhân ung thư đại tràng Sigma di căn gan tại Trung tâm Y học hạt nhân và Ung bướu, Bệnh viện Bạch Mai GS.TS. Mai Trọng Khoa, BSCK II Nguyễn Đức Luân, PGS.TS. Phạm Cẩm Phương Trung tâm Y học hạt nhân và Ung bướu, Bệnh viện...
Ca lâm sàng: Bệnh nhân ung thư phổi được điều trị đa mô thức tại Trung tâm Y học hạt nhân và Ung bướu bệnh viện Bạch Mai
Ca lâm sàng: Bệnh nhân ung thư phổi được điều trị đa mô thức tại Trung tâm Y học hạt nhân và Ung bướu bệnh viện Bạch Mai PGS.TS. Phạm Cẩm Phương, GS.TS. Mai Trọng Khoa, BSNT. Nguyễn Thị Phương Thảo Trung tâm Y học hạt nhân và Ung bướu,...
Điều trị miễn dịch bệnh ung thư đầu cổ giai đoạn muộn: tái phát và di căn tại Trung tâm Y học hạt nhân và ung bướu-Bệnh viện Bạch Mai
Điều trị miễn dịch bệnh ung thư đầu cổ giai đoạn muộn: tái phát và di căn tại Trung tâm Y học hạt nhân và ung bướu-Bệnh viện Bạch Mai GS.TS. Mai Trọng Khoa, BSNT. Nguyễn Bình Dương, ThS.BS. Trần Văn Oai, PGS.TS.BS. Phạm Cẩm Phương Trung tâm Y học...
Bệnh nhân ung thư phổi giai đoạn muộn được điều trị ổn định bệnh 6 năm tại Trung tâm Y học hạt nhân và Ung bướu, Bệnh viện Bạch Mai
Bệnh nhân ung thư phổi giai đoạn muộn được điều trị ổn định bệnh 6 năm tại Trung tâm Y học hạt nhân và Ung bướu, Bệnh viện Bạch Mai PGS.TS Phạm Cẩm Phương, GS.TS. Mai Trọng Khoa, BSNT Phạm Minh Lanh, BSNT Nguyễn Thúy Nga Trung tâm Y học...
