Miễn dịch & ung bướu
Điều trị miễn dịch kết hợp hóa chất bệnh nhân ung thư phổi tế bào nhỏ giai đoạn lan tràn tại Trung tâm Y học hạt nhân và Ung bướu – Bệnh viện Bạch Mai
Điều trị miễn dịch kết hợp hóa chất bệnh nhân ung thư phổi tế bào nhỏ giai đoạn lan tràn tại Trung tâm Y học hạt nhân và Ung bướu – Bệnh viện Bạch Mai GS.TS. Mai Trọng Khoa, BSNT. Trần Thị Thúy Ngân, PGS.TS. Phạm Cẩm Phương, Ths.BS. Phạm Minh...
CASE LÂM SÀNG ĐIỀU TRỊ UNG THƯ PHỔI KHÔNG TẾ BÀO NHỎ ÂM TÍNH VỚI PD-L1
CASE LÂM SÀNG ĐIỀU TRỊ UNG THƯ PHỔI KHÔNG TẾ BÀO NHỎ ÂM TÍNH VỚI PD-L1 GS.TS Mai Trọng Khoa 1,2, PGS.TS Phạm Cẩm Phương 1,2, TS.BS Phạm Văn Thái1 BSNT. Phùng Thế Thông2 1Trung Tâm Y học hạt nhân và Ung bướu, Bệnh viện Bạch Mai 2Trường Đại học...
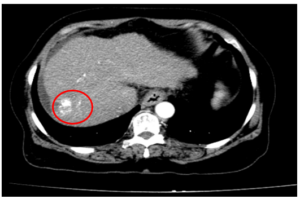
CA LÂM SÀNG: ĐIỀU TRỊ UNG THƯ PHỔI GIAI ĐOẠN MUỘN CÓ DI CĂN NÃO, TUYẾN THƯỢNG THẬN TẠI TRUNG TÂM Y HỌC HẠT NHÂN VÀ UNG BƯỚU, BỆNH VIỆN BẠCH MAI.
CA LÂM SÀNG: ĐIỀU TRỊ UNG THƯ PHỔI GIAI ĐOẠN MUỘN CÓ DI CĂN NÃO, TUYẾN THƯỢNG THẬN TẠI TRUNG TÂM Y HỌC HẠT NHÂN VÀ UNG BƯỚU, BỆNH VIỆN BẠCH MAI. GS.TS Mai Trọng Khoa(1,2), PGS.TS Phạm Cẩm Phương(1,2), BSCKII Lê Viết Nam(1), Sinh viên Lê Minh Phát(2) ...
CASE LÂM SÀNG: ĐIỀU TRỊ MIỄN DỊCH BỆNH NHÂN UNG THƯ HẮC TỐ DI CĂN HẠCH, PHỔI TẠI TRUNG TÂM Y HỌC HẠT NHÂN VÀ UNG BƯỚU, BỆNH VIỆN BẠCH MAI.
CASE LÂM SÀNG: ĐIỀU TRỊ MIỄN DỊCH BỆNH NHÂN UNG THƯ HẮC TỐ DI CĂN HẠCH, PHỔI TẠI TRUNG TÂM Y HỌC HẠT NHÂN VÀ UNG BƯỚU, BỆNH VIỆN BẠCH MAI. GS.TS Mai Trọng Khoa, BSNT. Mai Thị Quỳnh, PGS.TS Phạm Cẩm Phương, TS. Phạm Văn Thái, TS. Nguyễn Thanh...
Ca lâm sàng: Chẩn đoán, tư vấn di truyền và điều trị bệnh nhân mắc ung thư đại tràng có tính chất gia đình tại Trung tâm Y học hạt nhân và Ung bướu – Bệnh viện Bạch Mai
Ca lâm sàng: Chẩn đoán, tư vấn di truyền và điều trị bệnh nhân mắc ung thư đại tràng có tính chất gia đình tại Trung tâm Y học hạt nhân và Ung bướu – Bệnh viện Bạch Mai GS.TS.Mai Trọng Khoa1,2, PGS.TS.Phạm Cẩm Phương1,2,ThS.BS.Phạm Minh Lanh1,2, SV.Nguyễn Thị Hồng...
CA LÂM SÀNG ĐIỀU TRỊ BỆNH NHÂN UNG THƯ PHỔI CÓ ĐỘT BIẾN EGFR GIAI ĐOẠN MUỘN TẠI TRUNG TÂM Y HỌC HẠT NHÂN VÀ UNG BƯỚU, BỆNH VIỆN BẠCH MAI
CA LÂM SÀNG ĐIỀU TRỊ BỆNH NHÂN UNG THƯ PHỔI CÓ ĐỘT BIẾN EGFR GIAI ĐOẠN MUỘN TẠI TRUNG TÂM Y HỌC HẠT NHÂN VÀ UNG BƯỚU, BỆNH VIỆN BẠCH MAI GS.TS. Mai Trọng Khoa, PGS. TS Phạm Cẩm Phương, BSCKII Lê Viết Nam, SV. Nguyễn Thị Minh Nguyệt Trung...
Ca lâm sàng: Hiệu quả điều trị phối hợp: Miễn dịch-Hóa chất và Xạ phẫu dao gamma quay bệnh nhân ung thư phổi di căn não tại Trung tâm Y học hạt nhân và Ung bướu, Bệnh viện Bạch Mai
Ca lâm sàng: Hiệu quả điều trị phối hợp: Miễn dịch-Hóa chất và Xạ phẫu dao gamma quay bệnh nhân ung thư phổi di căn não tại Trung tâm Y học hạt nhân và Ung bướu, Bệnh viện Bạch Mai GS.TS Mai Trọng Khoa1,2, PGS. TS Phạm Cẩm Phương1,2,...
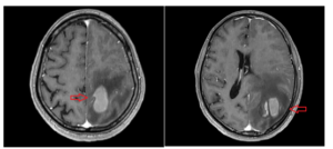
Điều trị bệnh nhân ung thư phổi di căn não giai đoạn muộn tại Trung tâm Y học hạt nhân và Ung bướu-Bệnh viện Bạch Mai
CASE LÂM SÀNG Điều trị bệnh nhân ung thư phổi di căn não giai đoạn muộn tại Trung tâm Y học hạt nhân và Ung bướu-Bệnh viện Bạch Mai PGS.TS. Phạm Cẩm Phương1,2, GS.TS. Mai Trọng Khoa1,2, Sinh viên Nguyễn Thị Hải Anh,2 1Trung tâm Y học hạt nhân và...
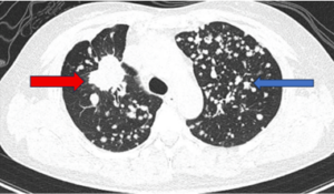
Bệnh nhân mắc ung thư phổi giai đoạn muộn được điều trị ổn định tại Bệnh viện Bạch Mai
Bệnh nhân mắc ung thư phổi giai đoạn muộn được điều trị ổn định tại Bệnh viện Bạch Mai GS.TS. Mai Trọng Khoa, ThS.BS. Lê Văn Long, PGS.TS. Phạm Cẩm Phương Trung tâm Y học hạt nhân và Ung bướu Bệnh viện Bạch Mai Tại Việt Nam, hiện nay...
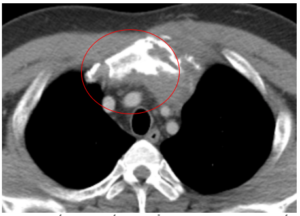
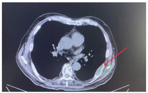
Ca lâm sàng: Điều trị bệnh nhân ung thư phổi di căn màng phổi, màng tim tại Trung tâm Y học hạt nhân và Ung bướu, Bệnh viện Bạch Mai
Ca lâm sàng: Điều trị bệnh nhân ung thư phổi di căn màng phổi, màng tim tại Trung tâm Y học hạt nhân và Ung bướu, Bệnh viện Bạch Mai GS.TS. Mai Trọng Khoa, PGS.TS.Phạm Cẩm Phương, BS CKII Võ Thị Huyền Trang, BS. Vũ Thị Huyền Ung thư phổi...
