Miễn dịch & ung bướu
Điều trị đích ung thư tuyến giáp thể biệt hoá kháng I-131
Điều trị đích ung thư tuyến giáp thể biệt hoá kháng I-131 GS.TS. Mai Trọng Khoa, PGS.TS. Phạm Cẩm Phương, Ths. Lê Quang Hiển, BSNT. Mai Thị Chung Trung tâm Y học hạt nhân và Ung bướu, Bệnh viện Bạch Mai Theo thống kê của Tổ chức Ung thư...
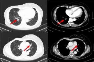
Ca lâm sàng: Hiệu quả điều trị đích bằng Osimertinib ở bệnh nhân ung thư biểu mô tuyến của phổi giai đoạn IV có đột biến gen EGFR L858R (Exon 21) tại Trung tâm Y học hạt nhân và Ung bướu – Bệnh viện Bạch Mai
Ca lâm sàng: Hiệu quả điều trị đích bằng Osimertinib ở bệnh nhân ung thư biểu mô tuyến của phổi giai đoạn IV có đột biến gen EGFR L858R (Exon 21) tại Trung tâm Y học hạt nhân và Ung bướu – Bệnh viện Bạch Mai GS.TS Mai Trọng Khoa,...
Ung thư không phải đại trực tràng có Chỉ số Bất ổn Vi Vệ Tinh cao / Thiếu hụt enzyme sửa chữa bắt cặp sai (High MSI/d-MMR): Kết quả từ Nghiên cứu Pha II KEYNOTE-158
CN. Vũ Bình Thư (Dịch) Đơn vị Gen-Tế bào gốc, Trung tâm Y học hạt nhân và Ung bướu Bệnh viện Bạch Mai MỤC ĐÍCH Bộ gen của các khối u bị thiếu hụt enzyme sửa chữa bắt cặp sai (dMMR) có tính bất ổn định vi vệ tinh cao...
Ca lâm sàng: Ung thư đại tràng ở bệnh nhân 15 tuổi
GS.TS Mai Trọng Khoa; BSNT Hoàng Mạnh Đức, Ths Bùi Quang Lộc , PGS.TS Phạm Cẩm Phương, Bsck II Hoàng Anh, Trung tâm y học hạt nhân và ung bướu, bệnh viện Bạch Mai Đại học Y Hà Nội Trung tâm cấp cứu A9, bệnh viện Bạch Mai Ung thư...
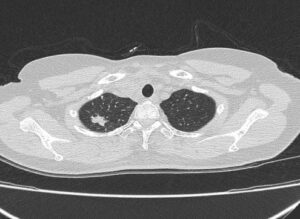
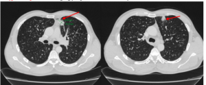
Case lâm sàng: Ứng dụng trí tuệ nhân tạo (Artificial intelligence – AI) trong chẩn đoán và điều trị sớm Ung thư phổi tại Trung tâm Y học hạt nhân và Ung bướu, Bệnh viện Bạch Mai
Case lâm sàng: Ứng dụng trí tuệ nhân tạo (Artificial intelligence – AI) trong chẩn đoán và điều trị sớm Ung thư phổi tại Trung tâm Y học hạt nhân và Ung bướu, Bệnh viện Bạch Mai GS.TS. Mai Trọng Khoa, PGS.TS. Phạm Cẩm Phương, BSNT Nguyễn Ngọc Ánh...
CASE LÂM SÀNG ĐIỀU TRỊ MIỄN DỊCH UNG THƯ PHỔI DI CĂN NÃO TẠI BỆNH VIỆN BẠCH MAI
CASE LÂM SÀNG ĐIỀU TRỊ MIỄN DỊCH UNG THƯ PHỔI DI CĂN NÃO TẠI BỆNH VIỆN BẠCH MAI GS.TS. Mai Trọng Khoa, BSNT Nguyễn Đức Thịnh, PGS.TS. Phạm Cẩm Phương, PGS.TS. Phạm Văn Thái, Trung tâm Y học hạt nhân và Ung bướu, Bệnh viện Bạch Mai Ung thư...
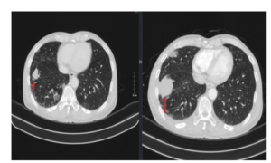
Ca lâm sàng: Điều trị hóa chất kết hợp liệu pháp miễn dịch ở bệnh nhân ung thư phổi không tế bào nhỏ giai đoạn IV tại Trung tâm Y học hạt nhân và Ung bướu – Bệnh viện Bạch Mai
Ca lâm sàng: Điều trị hóa chất kết hợp liệu pháp miễn dịch ở bệnh nhân ung thư phổi không tế bào nhỏ giai đoạn IV tại Trung tâm Y học hạt nhân và Ung bướu – Bệnh viện Bạch Mai GS.TS Mai Trọng Khoa, BSNT. Vũ Mạnh Cường, PGS.TS...
Điều trị Bệnh nhân Ung thư phổi không tế bào nhỏ giai đoạn IV có đột biến gen ALK tại Trung tâm Y học hạt nhân và Ung bướu – Bệnh viện Bạch Mai.
Điều trị Bệnh nhân Ung thư phổi không tế bào nhỏ giai đoạn IV có đột biến gen ALK tại Trung tâm Y học hạt nhân và Ung bướu – Bệnh viện Bạch Mai GS.TS Mai Trọng Khoa1,2, PGS.TS Phạm Cẩm Phương1,2, Bs Nguyễn Thị Đông Lan2 1. Trung tâm...
CASE LÂM SÀNG: ĐIỀU TRỊ UNG THƯ ĐẠI TRÀNG GIAI ĐOẠN MUỘN BẰNG HÓA CHẤT KẾT HỢP THUỐC KHÁNG TĂNG SINH MẠCH TẠI TRUNG TÂM YHHN VÀ UNG BƯỚU BỆNH VIỆN BẠCH MAI
CASE LÂM SÀNG: ĐIỀU TRỊ UNG THƯ ĐẠI TRÀNG GIAI ĐOẠN MUỘN BẰNG HÓA CHẤT KẾT HỢP THUỐC KHÁNG TĂNG SINH MẠCH TẠI TRUNG TÂM YHHN VÀ UNG BƯỚU BỆNH VIỆN BẠCH MAI GS.TS. Mai Trọng Khoa, PGS.TS. Phạm Cẩm Phương, TS.Phạm Văn Thái, BSNT Phan Tùng Lâm Trung tâm...
Liệu pháp 177Lu-PSMA-617 kết hợp nội tiết cải thiện thời gian sống bệnh không tiến triển trên hình ảnh học trên bệnh nhân ung thư tuyến tiền liệt di căn chưa điều trị nội tiết.
Liệu pháp 177Lu-PSMA-617 kết hợp nội tiết cải thiện thời gian sống bệnh không tiến triển trên hình ảnh học trên bệnh nhân ung thư tuyến tiền liệt di căn chưa điều trị nội tiết. BSNT. Nguyễn Minh Hiếu, GS.TS. Mai Trọng Khoa, PGS.TS. Phạm Cẩm Phương, PGS.TS. Phạm Văn...
