Miễn dịch & ung bướu
HIỆU QUẢ CỦA PHẪU THUẬT ĐỂ GIẢM NGUY CƠ ĐỐI VỚI UNG THƯ BUỒNG TRỨNG Ở BỆNH NHÂN KHÔNG MANG ĐỘT BIẾN GEN BRCA
HIỆU QUẢ CỦA PHẪU THUẬT ĐỂ GIẢM NGUY CƠ ĐỐI VỚI UNG THƯ BUỒNG TRỨNG Ở BỆNH NHÂN KHÔNG MANG ĐỘT BIẾN GEN BRCA Ths. Võ Thị Thúy Quỳnh (sưu tầm và lược dịch) Đơn vị Gen – Tế bào gốc, Trung tâm Y học hạt nhân và Ung bướu,...
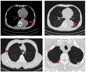
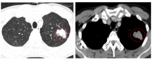
CASE LÂM SÀNG: VAI TRÒ CỦA PET/CT TRONG ĐÁNH GIÁ GIAI ĐOẠN TRƯỚC ĐIỀU TRỊ Ở BỆNH NHÂN UNG THƯ PHỔI TẠI TRUNG TÂM YHHN VÀ UNG BƯỚU BỆNH VIỆN BẠCH MAI
CASE LÂM SÀNG: VAI TRÒ CỦA PET/CT TRONG ĐÁNH GIÁ GIAI ĐOẠN TRƯỚC ĐIỀU TRỊ Ở BỆNH NHÂN UNG THƯ PHỔI TẠI TRUNG TÂM YHHN VÀ UNG BƯỚU BỆNH VIỆN BẠCH MAI GS.TS. Mai Trọng Khoa, PGS.TS. Phạm Cẩm Phương, BS. Lê Viết Nam, BSNT Mai Thị Chung. Trung...
CASE LÂM SÀNG “HIỆU QUẢ ĐIỀU TRỊ UNG THƯ PHỔI KHÔNG TẾ BÀO NHỎ GIAI ĐOẠN MUỘN BẰNG OSIMERTINIB TẠI BỆNH VIỆN BẠCH MAI”
CASE LÂM SÀNG “HIỆU QUẢ ĐIỀU TRỊ UNG THƯ PHỔI KHÔNG TẾ BÀO NHỎ GIAI ĐOẠN MUỘN BẰNG OSIMERTINIB TẠI BỆNH VIỆN BẠCH MAI” GS.TS. Mai Trọng Khoa, PGS.TS Phạm Cẩm Phương, TS. Phạm Văn Thái, ThS. Hoàng Công Tùng, BSNT. Nguyễn Thanh Nguyệt Trung tâm Y học hạt nhân...
CASE LÂM SÀNG: ĐIỀU TRỊ ĐÍCH KẾT HỢP VỚI NỘI TIẾT CHO UNG THƯ VÚ TIẾN TRIỂN TẠI BỆNH VIỆN BẠCH MAI
CASE LÂM SÀNG: ĐIỀU TRỊ ĐÍCH KẾT HỢP VỚI NỘI TIẾT CHO UNG THƯ VÚ TIẾN TRIỂN TẠI BỆNH VIỆN BẠCH MAI GS. TS. Mai Trọng Khoa, PGS. TS. Phạm Cẩm Phương, TS. Phạm Văn Thái BSNT. Đỗ Thị Thanh Xuân Trung tâm Y học hạt nhân và Ung bướu...
Điều trị ung thư phổi tế bào nhỏ bằng liệu pháp miễn dịch phối hợp hóa chất tại Bệnh viện Bạch Mai
Điều trị ung thư phổi tế bào nhỏ bằng liệu pháp miễn dịch phối hợp hóa chất tại Bệnh viện Bạch Mai GS.Mai Trọng Khoa, PGS.Phạm Cẩm Phương, TS.Phạm Văn Thái, TS.Nguyễn Thanh Hùng, BSNT.Nguyễn Hoàng Việt Trung Tâm Y Học Hạt Nhân và Ung Bướu bệnh viện Bạch...
Nhắm mục tiêu KRAS G12C trong NSCLC: cân bằng lợi ích–rủi ro của việc điều trị kết hợp bước đầu vẫn còn là thách thức
Nhắm mục tiêu KRAS G12C trong NSCLC: cân bằng lợi ích–rủi ro của việc điều trị kết hợp bước đầu vẫn còn là thách thức Ths. Vũ Thị Thu Hiền (Lược dịch) Đơn vị gen – Tế bào gốc, Trung tâm Y học hạt nhân và Ung bướu Nghiên cứu...
ĐAU TRONG UNG THƯ DI CĂN XƯƠNG
ĐAU TRONG UNG THƯ DI CĂN XƯƠNG GS.TS. Mai Trọng Khoa, BSNT.Nguyễn Hoàng Việt, PGS.TS.Phạm Cẩm Phương, PGS.TS.Phạm Văn Thái Trung tâm Y học hạt nhân và Ung bướu, Bệnh viện Bạch Mai I.TỔNG QUAN VÀ DỊCH TỄ VỀ DI CĂN XƯƠNG Hệ xương là vị trí phổ biến thứ ba...
QUẢN LÝ VIÊM GAN B KHI ĐIỀU TRỊ CÁC THUỐC UNG THƯ
QUẢN LÝ VIÊM GAN B KHI ĐIỀU TRỊ CÁC THUỐC UNG THƯ ThS. BS. Vũ Thị Niên (Tổng hợp và dịch) Tái hoạt hóa viêm gan B khi điều trị ung thư: Tái hoạt hóa HBV được định nghĩa là sự gia tăng đột ngột nồng độ DNA HBV trong...
Ca lâm sàng Bệnh nhân mắc hai ung thư nguyên phát: Ung thư phổi không tế bào nhỏ và Ung thư trực tràng
Ca lâm sàng Bệnh nhân mắc hai ung thư nguyên phát: Ung thư phổi không tế bào nhỏ và Ung thư trực tràng GS.TS. Mai Trọng Khoa, PGS.TS.Phạm Cẩm Phương, BSCKII. Lê Viết Nam, BSNT. Nguyễn Bảo Linh Trung tâm Y học hạt nhân và Ung bướu, Bệnh viện Bạch Mai Mở...
Ca lâm sàng: Điều trị bệnh nhân ung thư phổi không tế bào nhỏ giai đoạn di căn không có đột biến gen tại Trung tâm Y học hạt nhân và Ung bướu, Bệnh viện Bạch Mai
Ca lâm sàng: Điều trị bệnh nhân ung thư phổi không tế bào nhỏ giai đoạn di căn không có đột biến gen tại Trung tâm Y học hạt nhân và Ung bướu, Bệnh viện Bạch Mai GS. TS. Mai Trọng Khoa, PGS.TS.Phạm Cẩm Phương, BS CKII Lê Viết Nam,...
