Miễn dịch & ung bướu
GARSORASIB – TIỀM NĂNG ĐIỀU TRỊ Ở NGƯỜI BỆNH UNG THƯ PHỔI KHÔNG TẾ BÀO NHỎ CÓ ĐỘT BIẾN KRASG12C
GARSORASIB – TIỀM NĂNG ĐIỀU TRỊ Ở NGƯỜI BỆNH UNG THƯ PHỔI KHÔNG TẾ BÀO NHỎ CÓ ĐỘT BIẾN KRASG12C CN. Lê Thị Bích Ngọc, GS.TS Mai Trọng Khoa, PGS.TS. Phạm Cẩm Phương Trung tâm Y học hạt nhân và Ung bướu Bệnh viện Bạch Mai (dịch) Theo kết quả...
Ca lâm sàng: Phát hiện, chẩn đoán giai đoạn sớm một bệnh nhân mắc đồng thời ung thư phổi và ung thư tuyến giáp tại Trung tâm Y học hạt nhân và Ung bướu, bệnh viện Bạch Mai
Ca lâm sàng: Phát hiện, chẩn đoán giai đoạn sớm một bệnh nhân mắc đồng thời ung thư phổi và ung thư tuyến giáp tại Trung tâm Y học hạt nhân và Ung bướu, bệnh viện Bạch Mai GS. TS Mai Trọng Khoa, PGS. TS Phạm Cẩm Phương, TS. Phạm...
HẠN CHẾ CỦA HỆ THỐNG PHÂN LOẠI BARCELONA TRONG KỶ NGUYÊN CỦA ĐIỀU TRỊ CÁ THỂ HÓA VÀ LIỆU PHÁP MIỄN DỊCH TRONG UNG THƯ GAN
HẠN CHẾ CỦA HỆ THỐNG PHÂN LOẠI BARCELONA TRONG KỶ NGUYÊN CỦA ĐIỀU TRỊ CÁ THỂ HÓA VÀ LIỆU PHÁP MIỄN DỊCH TRONG UNG THƯ GAN BSNT. Nguyễn Ngọc Ánh Trung tâm Y học hạt nhân và Ung bướu, Bệnh viện Bạch Mai ( Tổng hợp) Ung thư biểu...
Case lâm sàng: Điều trị ung thư trực tràng trung bình di căn gan tại Trung tâm Y học hạt nhân & Ung bướu, Bệnh viện Bạch Mai
Case lâm sàng: Điều trị ung thư trực tràng trung bình di căn gan tại Trung tâm Y học hạt nhân & Ung bướu, Bệnh viện Bạch Mai GS.TS. Mai Trọng Khoa, PGS.TS. Phạm Cẩm Phương, Ths. Phạm Minh Lanh, BSNT. Nguyễn Thị Kim Ngọc. ...
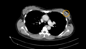
Ca lâm sàng: Điều trị bệnh nhân ung thư phổi không tế bào nhỏ di căn màng phổi tại Trung tâm Y học hạt nhân và Ung bướu, Bệnh viện Bạch Mai
Ca lâm sàng: Điều trị bệnh nhân ung thư phổi không tế bào nhỏ di căn màng phổi tại Trung tâm Y học hạt nhân và Ung bướu, Bệnh viện Bạch Mai GS. TS. Mai Trọng Khoa, PGS.TS.Phạm Cẩm Phương, BSNT. Đào Thị Trinh Trung tâm Y học hạt nhân...
Case lâm sàng: Điều trị bổ trợ bệnh nhân ung thư mô đệm đường tiêu hoá có đột biến gen KIT tại Trung tâm Y học hạt nhân và Ung bướu – Bệnh viện Bạch Mai
Case lâm sàng: Điều trị bổ trợ bệnh nhân ung thư mô đệm đường tiêu hoá có đột biến gen KIT tại Trung tâm Y học hạt nhân và Ung bướu – Bệnh viện Bạch Mai GS.TS. Mai Trọng Khoa, PGS.TS. Phạm Cẩm Phương, TS. Phạm Văn Thái, Ths.BS. Lê...
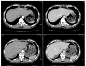
Case lâm sàng: Điều trị bệnh nhân ung thư biểu mô tế bào gan tại Trung tâm Y học hạt nhân và Ung bướu – Bệnh viện Bạch Mai
Case lâm sàng: Điều trị bệnh nhân ung thư biểu mô tế bào gan tại Trung tâm Y học hạt nhân và Ung bướu – Bệnh viện Bạch Mai GS.TS. Mai Trọng Khoa, PGS.TS. Phạm Cẩm Phương, Ths. Lê Quang Hiển, BSNT. Cao Văn Trung, BSNT. Đỗ Đăng Thọ Trung tâm...
Ca lâm sàng: Chẩn đoán ung thư vú đồng thời 2 bên giai đoạn sớm tại Trung tâm Y học hạt nhân và Ung bướu – Bệnh viện Bạch Mai
Ca lâm sàng: Chẩn đoán ung thư vú đồng thời 2 bên giai đoạn sớm tại Trung tâm Y học hạt nhân và Ung bướu – Bệnh viện Bạch Mai GS.TS. Mai Trọng Khoa1,2, PGS.TS. Phạm Cẩm Phương1,2, ThS.BS. Phạm Minh Lanh1,2 BSNT Vũ Thị Thùy Linh1, 1Trường Đại...
Ca lâm sàng: Điều trị miễn dịch phối hợp hóa chất cho bệnh nhân ung thư phổi di căn hạch tiến triển tại Trung tâm Y học hạt nhân và Ung bướu – Bệnh viện Bạch Mai
Ca lâm sàng: Điều trị miễn dịch phối hợp hóa chất cho bệnh nhân ung thư phổi di căn hạch tiến triển tại Trung tâm Y học hạt nhân và Ung bướu – Bệnh viện Bạch Mai GS.TS. Mai Trọng Khoa, PGS.TS.Phạm Cẩm Phương, ThS.BSNT.Phạm Minh Lanh, BSNT.Nguyễn Bảo Linh...
Ca lâm sàng: Điều trị Trastuzumab phối hợp với hóa chất tân bổ trợ trên bệnh nhân ung thư vú có thụ thể Her-2 dương tính tại bệnh viện Bạch Mai
Ca lâm sàng: Điều trị Trastuzumab phối hợp với hóa chất tân bổ trợ trên bệnh nhân ung thư vú có thụ thể Her-2 dương tính tại bệnh viện Bạch Mai GS.TS. Mai Trọng Khoa, PGS.TS Phạm Cẩm Phương, TS. Phạm Văn Thái, BSNT. Mẫn Thị Huế Trung tâm Y...
